Panorama of Emergency Medicine

PoEM is an international peer-reviewed (double-blind) independent open access journal dedicated to advancing knowledge and practice in emergency medicine.

ISSN : 3006-0966

Skip to main navigation menu Skip to main content Skip to site footer

Critical illness & sedation

11 Items

All Items

  • The Assessment of Lebanese Hospital Nurses’ Qualifications in The Fight Against COVID-19: Are They Well Prepared?

    Background
    On December 31, 2019 China reported multiple cases of a novel coronavirus, This rapid and unexpected increase in cases caused a shortage of testing kits, personal protective equipment (PPE), medical treatments, ventilators, and other medical supplies. Therefore, nurses and physicians needed to feel safe, protected and confident while treating ill patients. It is the responsibility of the healthcare system's to wisely use the skills and available resources for an effective response and ensure the safety of the personnel. Our primary objective is to assess the preparedness of nurses against the coronavirus and then to evaluate the impact of the outbreak on the nurses and their attitude towards the pandemic.

    Methods
    An anonymous online survey was conducted among nurses across Lebanon. It consisted of 24 multiple-choice, closed-ended questions related to knowledge, attitude and practice.

    Results
    A total of 370 registered nurses completed the survey. Analysis showed that age had no effect on knowledge; males were more trained than females for triage, hand hygiene and working in isolation units, while females were more trained for handling PPE. Additionally, females attended national lectures more than males, while males received information from media and brochures. The training for PPE use and working in isolation unit was better conducted in university hospitals as compared to non-university ones. 50% of nurses in both hospital types did not attend any lectures. The nurses in all Lebanese districts had training about hand hygiene and working in isolation unit before the pandemic while they had the triage training mostly after the pandemic started. Analysis also showed that the nurse-to-patient ratio was higher for older nurses and in peripheral areas. For both genders, 66.3% had never undergone an N95 fit test. Lastly, almost half of the nurses thought about quitting their job.

    Conclusion
    The study showed that there is some lack of nurses’ knowledge towards COVID-19. Variations were observed in nurses’ practice regarding age, gender, hospital type, district and nurses’ position.

    Introduction
    On December 31, 2019 China reported multiple cases of acute respiratory illnesses that were later found to be caused by a novel coronavirus, the severe acute respiratory syndrome coronavirus 2 (SARS-CoV-2) [1]. This virus is a member of the subfamily Coronavirinae and belongs to the same genus as coronaviruses that caused the severe acute respiratory syndrome (SARSCoV) reported in China in 2003, and Middle East respiratory syndrome (MERS-CoV) reported in Saudi Arabia in 2012 [2]. Unfortunately, the new coronavirus had spread very rapidly around the globe, so on March 11, 2020 the World Health Organization (WHO) declared SARS-CoV-2 a pandemic [3]. This rapid and unexpected increase in cases caused a shortage of testing kits, personal protective equipment (PPE), medical treatments, ventilators, and other medical supplies.

    In addition, the insufficiency was not only observed in material resources but in human resources as well, number of staff and preparedness of personnel [4]. Despite the elapse of more than a year after the declaration of the pandemic, there is still no curative treatment for SARS-CoV-2 and numbers continue to rise with nearly one million new cases in the last week of March 2021 and the emergence of new strains, more virulent, like the latest one in India [5-6]. According to Guest et al, the major steps in overcoming this pandemic are an effective lockdown, an increase in testing and most importantly an improvement of the healthcare system’s capacity to respond, which is the aim of this study [7]. In turn, ensuring the safety of health care workers (HCWs) should be a priority by vaccinating them, providing them with the appropriate PPEs, giving them the adequate training and updating their knowledge of the pandemic.

    Researchers in Taiwan found that the number of HCW decreased as the sense of security among them decreased; they felt unsafe treating coronavirus disease (COVID-19) patients, and avoided working in COVID-19 units [3]. Therefore, nurses and physicians needed to feel safe, protected and confident while treating ill patients; for this purpose, infectious disease specialists in Taiwan developed a “Traffic control bundling” map that ensures a passage for patients from triage to treatment zone where HCW are not exposed to the patient and those who are directly taking care of them are in full PPE. This map aims at preventing shortage in medical staff secondary to anxiety, thereby improving the workflow [3]. It is also very important for the workflow that the medical staff in a pandemic is not subject to any anxiety or stress. while it is difficult to determine the number of lives saved by epidemiological research, yet it is certain that good intervention and prevention strategies save millions of lives.

    It is our responsibility to wisely use the skills and available resources for an effective response. For this reason, the WHO published a checklist to help hospitals assess their preparedness in order to ensure a rapid response to the outbreak [8]. This study aims to assess how well the Lebanese nurses are prepared for this new pandemic. Our primary objective is to assess the preparedness of nurses against the SARS-CoV-2 outbreak based on the level of knowledge, training and practice. The secondary objective is to evaluate the impact of the outbreak on the nurses and their attitude towards the pandemic.

    Materials and methods
    Study design and data collection procedure
    This is a descriptive, observational cross-sectional study, for which the approval of the Institutional Review Boards of the Lebanese American University was obtained in May 2020 IRB #: LAU.SOM.RS2.11/ May/2020. It was based on an anonymous self-administered online survey. The questionnaire was created using Google Forms, saved as a link, and reviewed by the Lebanese Order of Nurses who distributed it via email to all registered nurses. Data collection took place between July 2020 and February 2021 (The Beirut Blast that occurred on the 4th of August 2020, caused a halt in data collection for approximately two months.) Only answers of currently practicing nurses, whether in the private or public sector, working in any of the Lebanese governorates, were included. Nurses who were not registered, did not hold a license to practice, or were not currently practicing were excluded from the study.

    Sample size
    The sample size was calculated using Epi Info 7 StatCalc functions for a population survey. Given that the number of registered nurses in 2020 was 16927 and, with an expected confidence level of 95% along with a margin of error of 5%, the minimum sample size required to obtain statistically significant results was determined to be 370 nurses.

    Survey development
    The questionnaire was designed after reviewing multiple studies discussing COVID-19 preparedness among HCW, as well as preparedness for other epidemics and pandemics. It was initially written in English then translated to Arabic by a translator and cross-checked with the team of the study. It was then back-translated to ensure  accuracy to English. Both the English and Arabic versions were piloted by two nurses, one day apart, to make sure they were equally understood. This way we were able to check for the comprehension of the questionnaire in both languages and agreement (reliability of the questionnaire) in their answers before conducting the study. The questionnaire was composed of 24 multiple choice questions that mainly look into the sociodemographic characteristics of the nurses, their training and educational backgrounds. This allowed us to assess nurses’ knowledge, the load they were dealing with and to analyze their practice. In addition, there were few questions that look into nurses’ attitude towards this crisis. To note that the survey was sent in both languages, Arabic and English, and the answers provided were collected on an online sheet.

    Data management and statistical analysis
    Statistical analysis was conducted using the Statistical Package for the Social Sciences (SPSS) for Windows, Version 23.0. Means and standard deviations were reported for continuous variables. Categorical variables were assessed and described as frequency and percentage. Bivariate analysis was performed using Chi square test and Fisher test to examine associations between knowledge, practice and attitude and the different sociodemographic variables (gender, age, experience, job position, years of experience, type of hospital and hospital location). A p-value of <0.05 was considered statistically significant.

    Results
    General Characteristics
    A total of 370 nurses responded to the questionnaire; however, only 359 were currently practicing and thus included in the study. Among them, 155 were male (41.8%) and 215 were female (58.2%).Respondents’ ages ranged from 21 to 63 with a mean age of 32 years. Additionally, 223 (62.1%) worked in private hospitals, 89 (24.8%) worked in public hospitals and 47 (13.1%) worked in both sectors simultaneously. When considering the type of hospital, 204 (56.8 %) participants were practicing in university hospitals while the rest were working in non-university hospitals. Moreover, when considering the geographical distribution, the majority 167 (46.5 %) of nurses were practicing in the capital Beirut, and the rest were distributed across the North, South, Bekaa and Mount Lebanon.
    After reviewing the numbers and the descriptions of the sample obtained, we tried to observe the correlation between the above-mentioned demographics and other characteristics such as experience, job position…with the knowledge, practice and attitude of the nurses towards the pandemic; result of our observations is described in the following section.

    Nurses’ Knowledge
    To assess nurses’ knowledge, the questionnaire included questions regarding training (triage of COVID-19 patients, use of PPEs, hand hygiene and different types of isolation) and educational activities (such as conferences’ and lectures’ attendance), were included in the questionnaire. Regarding training, we looked into possible associations with participants’ age and gender, also with the type and location of hospital.


    Association with age
    Data analysis showed no association between age and any of the previously cited variables. Therefore, age had no effect on nurses’ knowledge of SARS-CoV-2.

    Association with gender
    Data analysis showed an association between gender and studied variables, as summarized in Table 1.
    Male nurses had more training sessions than females, in triage, hand hygiene and working in isolation units. In contrast, female nurses received more training in the proper use of PPE. Our observations found that nurses were trained for triage and PPE handling after the emergence of the SARS-COV-2 in Lebanon, while trainings concerning hand hygiene and different isolation types, were acquired before the start of the pandemic. To note that a small percentage of nurses never had any type of training (around 16 % for triage training and 8% for each of the rest).


    Concerning the information platforms, 27% of respondents reported access to international resources such as those from UNICEF or WHO and 79% noted receiving information from infection control committee of their hospital. However, no statistically significant difference was observed between genders for the abovementioned sources. 30.9% of the nurses received information from the national health authorities (Ministry of Public Health), with a predominance among female respondents. 70.8% of nurses received their information from media, 49% from brochures and 42.3% from occupational health and safety committees; with a significant male predominance across all three sources.

     

    Association with type of hospital (University vs. Non-University hospital)
    The data is summarized in Table 2.
    For triage training, data analysis showed no significant difference between university and non-university hospitals. As for the rest, before and after the pandemic there was a statistical difference concerning training for PPE use (p value 0.042), hand hygiene (p < 0.001) and working in isolation units (p< 0.001) was significantly more common in university hospitals.
    It is important to note that not all hospitals provided training sessions. In fact, 8% of hospitals in both categories offered no training at all.

    As for taking lectures, data was significant for the following observation: 35% of nurses working in university hospitals attended lectures from International Organizations as compared to 16% of nurses working in non -university hospitals. 37 % of nurses working in university hospital attended lectures given by the Ministry of Public Health while only 23% of those working in non-university hospitals did. Almost 50% of nurses from both hospital types did not attend any lectures. On the other hand, 62 % of nurses working in non-university hospitals relied more on self-education through random brochures compared to 32% of those in university hospitals.

    Association with hospital location in Lebanese governorates
    Training for hand hygiene and working in isolation units, were already implemented in hospitals across all Lebanese governorates. For triage, triage training was introduced after the pandemic began.
    As for the PPE, For PPE training, it was observed that hospitals in Beirut and Mount Lebanon enforced training mainly after the emergence of the first confirmed case in Lebanon.
    Regarding lectures, nurses working in Beirut and Mount Lebanon area attended more international and national lectures, as compared to nurses working in Bekaa, North and South districts. Nurses in the latter regions were mainly getting their information from media and brochures. In all the districts, the hospital infection control and the occupational health and safety committees played an equally active role in educating nurses.

    Association with nurses’ position and years of experience
    Nurses' roles were categorized into three groups, head nurses, critical care nurses (Emergency Room and Intensive Care Unit) and non-critical nurses (Pediatrics and regular ward). All lectures and trainings were not significantly affected by position. However, 22% of non-critical care nurses, 5% of head nurses and 14% of critical care unit nurses never had triage training. Neither getting any training nor attending lectures showed a statistically significant difference when comparing years of experience.

    Nurses’ Practice
    Using the same variables (gender, age, hospital type, hospital location, and job position), the practice of nurses was evaluated. The key indicators assessed were whether nurses underwent N95 fit testing, their experience working in negative pressure units, and the patient load assigned to them.


    Association with age
    Data analysis showed that no significant difference was observed in N95 fit testing when comparing different age groups, nor in working in negative pressure units. However, the assigned number of patients increased as nurses’ age increased. Actually, nurses who were 30 years and older had 10 to 20 patients to take care of whereas nurses who were 30 years and younger had 5 to 10 patients to take care of.


    Association with gender
    For both genders, the overall rate for N95 fit testing was very low: in total 66.3% of nurses reported never having undergone an N95 fit test. Within those who had the test, 30.1% of the females and 18% of males had the fit test after the pandemic while 8.1% of females and 9% of males had it before. Regarding working in negative pressure unit, male nurses significantly had previous experience, 39.3% of males as compared to 28.7% of females (p=0.035). As for the load of patients during their practice there was no significant difference between genders.

    Association with type of hospital (University vs non-university)
    Hospital type (university vs. non-university) did not seem to affect the practice of the nurses. Association with hospital location in Lebanese governorates Beirut was the area where nurses had N95 fit test done the most, and mainly after the start of the pandemic (31.7%, or n=53 with p-value =0.002). The load of the patients assigned to each nurse during the pandemic was higher in peripheral areas (North, South and Bekaa) as compared to the Capital, however, no statistical difference existed before the pandemic between the different districts.

    Association with nurses’ position
    66% (n=238) of the of nurses did not have the N95 fit test done at all, 8% (n=31) did it before the pandemic
    and 26% (n=90) after. 42% (n=51) of critical care nurses were familiar with working in negative pressure unit compared to non-critical care and head nurses (28.6 % or n=68).

    Nurses’ Attitude
    To understand the emotional and psychological burden experienced by Lebanese nurses during the COVID-19 pandemic, the last section of the survey contained two questions that address the nurses’ will to take an unpaid leave or even quit their job. A bivariate analysis of the different studied characteristics (age, gender, hospital type and location, and job position) showed that none of them was significantly associated with the nurses’ will to take a break or quit. In all categories, almost 50% of the respondent nurses thought of taking an unpaid leave, the percentage decreases to 33% of the total responses when asked about quitting their jobs.

    Discussion
    HCW and in particular nurses are at the frontline of SARS-CoV-2 pandemic response. In this study we assess the knowledge, practice and attitude of the Lebanese nurses towards the pandemic all over Lebanon.
    Knowledge is a key factor in the fight against any pandemic, since a poor understanding of the disease can result in delayed identification of positive cases and therefore lead to rapid spread of the infection.
    Guidelines for HCW along with online courses have been developed by several national and international organizations such as the Lebanese Ministry of Public Health, infectious disease societies, the WHO, the Centers for Disease Control and Prevention, and the National Institutes of Health [9].
    This is not the first study to explore the awareness and attitude of Lebanese HCW in Lebanon regarding the pandemic. Other studies done earlier, only described the knowledge and attitude of nurses and pharmacists in Lebanon but without trying to identify the reasons behind the deficiency and consequently failed to provide a space for improvement [10].
    In a similar study, Saade et al. analyzed the knowledge and attitude of Lebanese nurses and reported that they were well informed, based on their understanding of the disease transmission, clinical presentation and effective protective measures [10].
    However, our study focused more specifically on the source of this knowledge and we found that the majority of nurses (almost 2/3) did not receive any lectures or trainings from international organizations while the study of Saade et al showed that ¾ (74.6%) attended an awareness session on COVID-19. The information gathered by the nurses was from personal effort in looking at various accredited and non-accredited resources online, from media and brochures, especially in non-university hospitals and outside the capital [10]. This means that a big number of Lebanese nurses are getting their information from non-evidence-based sources, which raises concerns about the precision of this knowledge. A study conducted in Lebanon by Domiati et al. found that 61% of the Lebanese population obtained their COVID-19 knowledge from HCWs, positioning nurses as a key source of public information [11]. The Lebanese Order of Nurses could play an important role in solving this issue, by helping the registered nurses in attending virtual international and national conferences, based on evidence- based, updated guidelines and on experts’ opinion. Hospitals also have a responsibility to promote the role of infection control and occupational health and safety committees in educating their nurses and improving their trainings. Although the Lebanese authorities including the Ministry of Public Health launched a dedicated website for all information regarding COVID-19 and started broadcasting preventive methods on local television channels. These efforts primarily target the general population, and not HCWs [12].
    The Ministry of Public Health has an important part to play through updating daily news, about the cases in Lebanon, and awareness campaigns. Finally, the nurses themselves should also be encouraged to read articles from trusted and evidence-based literature.
    In most similar studies, males demonstrated low levels of knowledge, attitude and preventive practices compared to females [13-16]. However, in our study male nurses received more training and lectures. This may be due to some hospitals assigning male nurses to SARS-CoV-2 wards more frequently and investing more in their training. It could also be secondary to some societal norms favoring educational opportunities for men over women.

    Similar to finding of a study looking at Lebanese pharmacists’ practice towards the pandemic [17]. Our results showed that nurse’s practice was also affected by not having enough PPE, and also by not having N95 Fit test, which can render the nurses hesitant in their jobs. The delivery of PPE is a must to provide adequate protection of healthcare workers and other non-infected patients.
    Compared to Saade et al, our questionaries’ regarding practice was complementary to theirs [10]. They asked about getting the infection, being tested for COVID 19, having infected co-workers, treating COVID 19 patients, having sufficient PPEs and correctly using it, evaluating hospital preparedness, educating patients and testing the n95 masks themselves (46% vs 34% in our study) [10]. Our study addressed, on top of the fit test, the load of patients per nurse and working in negative pressure units. The load per nurses was observed in older nurses, probably because they are more experienced and have greater resilience. Moreover, the nurse-to-patient ratio was greater for those working in peripheral areas most probably because of the lack of staff working in rural areas, and the lower number of hospitals as compared to the capital. This finding is comparable to a similar study done in China where the nurses in urban areas had more knowledge especially the ones with more than 20 years of experience and therefore were assigned a higher patient load [18].
    Finally, when assessing the attitude of nurses, Saade et al. described Lebanese nurses as being afraid of getting the infection, or transmitting it to their loved ones [10]. Although a study done in the Philippines showed that the fear of getting infected with COVID-19 is associated with higher knowledge and that is the case with nurses since they have more knowledge of the disease than the general population [19]. Saade et al. also documented the nurses’ psychological burden by looking at their levels of anxiety, stress and depression, and the negative consequences of these burdens on their duties, relationship with their families and co-workers [10]. Saade et al. focused on the psychological impact on the nurses’ attitude; one common question between the two studies, regarding leaving work due to COVID, showed similar results: 64% of their respondents’ vs 67% of ours declared not wanting to quit. This actually shows a positive attitude toward COVID-19 and the result is comparable to the study done in the general population in Lebanon [11]. This reasoning can also be explained by the economic crisis affecting the country and further studies about nurses’ burnout should be addressed.

    Limitations

    The study was conducted through an online survey therefore only nurses who had access to it were able to complete it. Also, since the data are based on self-reported responses, there might be information and recall bias. Since the study is cross-sectional, we cannot conclude any direct causality between dependent and independent variables. More specifically, our survey only addressed some aspects of knowledge, practice and attitudes; we therefore didn’t assess the reasons behind nurses’ will to quit or take unpaid leaves.

    Conclusions

    This study showed gaps in knowledge regarding SARS-CoV-2 among Lebanese nurses, mainly due to the absence of a proper educational program and training. This gap persisted despite the fact that the COVID-19 pandemic had been ongoing for over 6 months during the study period. However, variations existed in nurses’ practice regarding age, gender, hospital type, district and nurses’ position. The nurses, despite the pandemic, did not report a high willingness to quit or take unpaid leaves.
    In conclusion, greater efforts must be invested in educating and training nurses, who represent the backbone of the healthcare system. These efforts should be coordinated by multiple stakeholders, including scientific societies, the Lebanese Order of Nurses, and the Ministry of Public Health. Moreover, hospitals should be adequately equipped with essential resources to face a pandemic. This moment offers a valuable opportunity to reassess outbreak management challenges and develop sustainable strategies for future health crises. Additional studies are also recommended to evaluate nurses' burnout and the current level of institutional preparedness.

    Author contributions
    All authors contributed equally and validated the final version of record.
    Declarations
    Conflicts Of Interests
    The Authors declare that there is no conflict of interest.
    Funding
    This research received no specific grant from any funding agency in the public, commercial, or not-for-profit sectors.
    Registration
    No registration applicable.
    Data availability statement
    The data that support the findings of this study are available from the corresponding author upon reasonable request.
    Ethical approval
    Ethical approval for this study was not required.

    References

    1. Li Q, Guan X, Wu P, Wang X, Zhou L, Tong Y, et al. Early Transmission Dynamics in Wuhan, China, of Novel Coronavirus–Infected Pneumonia. N Engl J Med. 2020 Mar 26;382(13):1199–207. https://doi.org/10.1056/NEJMoa2001316

    2. Al-Mandhari A, Samhouri D, Abubakar A, Brennan R. Coronavirus Disease 2019 outbreak: preparedness and readiness of countries in the Eastern Mediterranean Region. East Mediterr Health J. 2020 Feb 24;26(2):136–7. https://doi.org/10.26719/emhj.23.051

    3. Novel Coronavirus (2019-nCoV): Situation Report 1 [Internet]. World Health Organization; 2020 Jan. Available from: https://apps.who.int/iris/bitstream/handle/10665/330776/nCoVsitrep31Jan2020-eng.pdf

    4. Médecins Sans Frontières (MSF) [Internet]. 2021. Overlapping crises in Lebanon increase needs and worsen access to care. Available from: https://www.msf.org/lebanon-overlapping-crises-increase-needs-and-worsen-access-care

    5. World Health Organization [Internet]. 2021. Weekly epidemiological update on COVID-19 – 23 March 2021. Available from: https://www.who.int/publications/m/item/weekly-epidemiological-update-on-covid-19---23-march-2021

    6. Hackethal V. MedPage Today. 2021. India’s COVID-19 Variant: What We Know So Far. Available from: https://www.medpagetoday.com/special-reports/exclusives/92345

    7. Guest JL, Del Rio C, Sanchez T. The three steps needed to end the COVID-19 pandemic: bold public health leadership, rapid innovations, and courageous political will. JMIR Public Health Surveill. 2020 Apr 6;6(2):e19043. https://doi.org/10.2196/19043

    8. World Health Organization. Hospital Readiness Checklist for COVID-19 [Internet]. Copenhagen: WHO Regional Office for Europe; 2020. Available from: https://iris.who.int/bitstream/handle/10665/333972/WHO-EURO-2020-1012-40758-54954-eng.pdf

    9. World Health Organization. Introduction to COVID-19: Methods for Detection, Prevention, Response and Control [Internet]. OpenWHO; 2021. Available from: https://openwho.org/courses/introduction-to-ncov

    10. Saadeh D, Sacre H, Hallit S, Farah R, Salameh P. Knowledge, attitudes, and practices toward the coronavirus disease 2019 (COVID-19) among nurses in Lebanon. Perspect Psychiatr Care. 2021;57(3):1212–1221. https://doi.org/10.1111/ppc.12676

    11. Domiati S, Itani M, Itani G. Knowledge, Attitude, and Practice of the Lebanese Community Toward COVID-19. Front Med. 2020, 7:542. https://doi.org/10.3389/fmed.2020.00542

    12. Republic of Lebanon Ministry of Public Health (MoPH) [Internet]. 2020. New Website Launched by the Ministry of Information Regarding Coronavirus Latest News in Lebanon. Available from: https://www.moph.gov.lb/en/

    13. Zhong BL, Luo W, Li HM, Zhang QQ, Liu ZG, Li WT et al. Knowledge, attitudes, and practices towards COVID-19 among Chinese residents during the rapid rise period of the COVID-19 outbreak: a quick online cross-sectional survey. Int J Biol Sci. 2020;16(10):1745–1752. https://doi.org/10.7150/ijbs.45221

    14. Al-Hanawi MK, Angawi K, Alshareef N, Qattan AMN, Helmy HZ, Abudawood Y et al. Knowledge, Attitude and Practice Toward COVID-19 Among the Public in the Kingdom of Saudi Arabia: A Cross-Sectional Study. Front Public Health. 2020;8:217. https://doi.org/10.3389/fpubh.2020.00217

    15. Haque T, Hossain K, Bhuiyan M, Ananna S, Mian M, Islam M, et al. Knowledge, attitude and practices (KAP) towards COVID-19 and assessment of risks of infection by SARS-CoV-2 among the Bangladeshi population: An online cross sectional survey [Internet]. medRxiv; 2020. Available from: https://www.medrxiv.org/content/10.1101/2020.05.26.20104497v1.full.pdf

    16. Maheshwari S, Gupta PK, Sinha R, Rawat P. Knowledge, attitude, and practice towards coronavirus disease 2019 (COVID-19) among medical students: a cross-sectional study. J Acute Dis. 2020;9(3):100–104. https://doi.org/10.4103/2221-6189.283886

    17. Zeenny RM, Ramia E, Akiki Y, Hallit S, Salameh P. Assessing knowledge, attitude, practice, and preparedness of hospital pharmacists in Lebanon towards COVID-19 pandemic: a cross-sectional study. J of Pharm Policy and Pract. 2020;13:54. https://doi.org/10.1186/s40545-020-00266-8

    18. Wen X, Wang F, Li X, Gu H. Study on the Knowledge, Attitude, and Practice (KAP) of Nursing Staff and Influencing Factors on COVID-19. Front Public Health. 2021, 8:560606. https://doi.org/10.3389/fpubh.2020.560952

    19. Lau LL, Hung N, Go DJ, Ferma J, Choi M, Dodd W et al. Knowledge, attitudes and practices of COVID-19 among income-poor households in the Philippines: a cross-sectional study. J Glob Health. 2020;10(1):011007. https://doi.org/10.7189/jogh.10.011007

    20. Chaiban C, Maamari O, Issa ST, Kosremelli Asmar M: The experience of ER nurses in Lebanese hospitals during the COVID-19 outbreak: a qualitative study. Disaster Med Public Health Prep. 2023;17:e334. https://doi.org/10.1017/dmp.2022.304

    21. Clinton M, Bou-Karroum K, Doumit MA, Richa N, Alameddine M. Determining levels of nurse burnout during the COVID-19 pandemic and Lebanon's political and financial collapse. BMC Nurs. 2022;21(1):11. https://doi.org/10.1186/s12912-021-00789-8

    22. Youssef D, Abboud E, Abou-Abbas L, Hassan H, Youssef J. Prevalence and correlates of burnout among Lebanese health care workers during the COVID-19 pandemic: a national cross-sectional survey. J of Pharm Policy and Prac. 2022;15:102. https://doi.org/10.1186/s40545-022-00503-2

    23. Bizri M, Kassir G, Tamim H, Kobeissy F, El Hayek S. Psychological distress experienced by physicians and nurses at a tertiary care center in Lebanon during the COVID-19 outbreak. J Health Psychol. 2022 May 1;27(6):1288–1300. https://doi.org/10.1177/1359105321991630

  • Elderly patient with late diagnosed metastatic bone lytic lesions

    Low back pain is a frequent reason for emergency department visits, pain management and screening for red flags should be considered for every patient, especially in elderly even with reassuring physical exam. In this case report, we discuss a case of an elderly patient who visited the emergency department many times with low back pain. His physical exam was reassuring. A low suspicion threshold, and a prompt history taking were the keys for diagnosis of bone-destroying lesions with multiple fractures and metastases. The patient had history of liver cirrhosis post hepatitis B, Alpha foetoprotein was high and he was diagnosed with metastatic hepatocarcinoma with extensive bone metastasis.  Persistent pain, especially in older adults with progressive back pain, should be thoroughly investigated for serious conditions like bone metastases. Remember the "red flags" for lower back pain and note that physical exams may appear normal even with advanced bone issues.

    Introduction

         Acute back pain is one of the main reasons for emergency department (ED) presentations, and constitutes 4.4% of emergency department applications worldwide [1]. Advanced age places the patient at higher risk and requires further investigation [4]. Malignancies and related metastatic bone lesions form a small part of people who present to the emergency department with low back pain [4]. However, it should not be forgotten in elderly people with low back pain [3]. Emergency physicians should utilize red flag screening methods to detect those with serious diseases and, thus, patients who need to be investigated [2,3]. History of malignancy and cancer risk factors are considered among the serious red flags, since bone tissue appears as a frequent region in terms of metastasis. The presence of bone metastases is an indicator of poor prognosis in cancer patients. Prostate and breast cancers frequently metastasize to the skeletal system. Bone metastases occur much more often than primary bone cancers, especially in adults. The overall incidence of bone metastasis is unknown. The presence of bone metastases may cause severe pain as well as pathological fractures, limitation of mobility, bone marrow aplasia, compression of the spinal cord, and hypercalcemia [5].
         In this case report, we present a patient with extensive bony lytic lesions who were mobile despite having many pathological fractures and metastatic lesions that caused almost complete disappearance of one-half of the pelvis. The institution's approval was obtained from Medical Research Center (CIRC-RDB-43-12-2022), and written informed consent was obtained from the patient. The paper was presented at the World Academic Congress of Emergency Medicine in Antalya, Türkiye, from October 28 to 31, 2023.

    Case Presentation

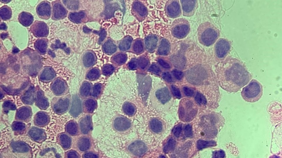
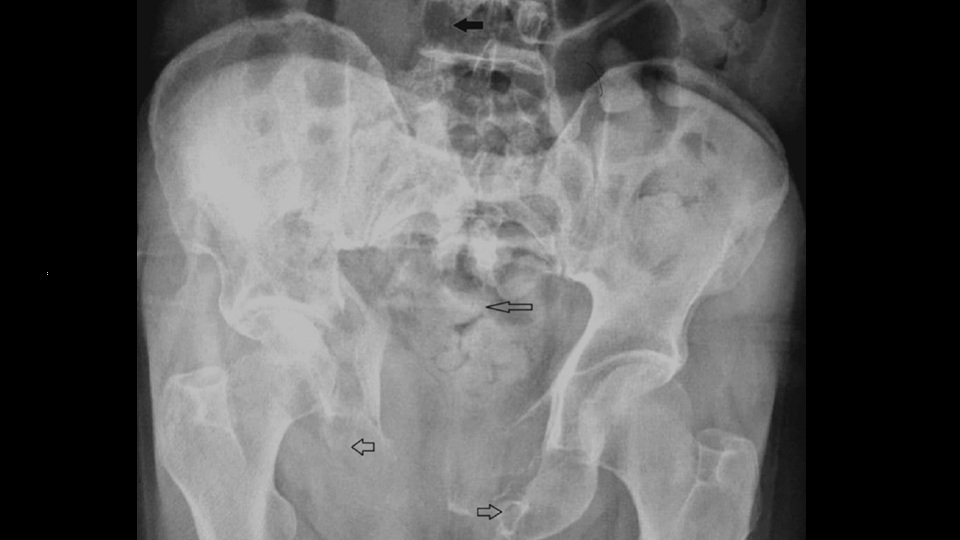
         A sixty-seven-year-old male presented to the emergency department with a complaint of lower back pain for 4 months. There was no history of trauma. The pain was on and off, radiating to his right hip and gluteal region, worsening for the last two weeks, and associated with walking difficulty for the last ten days. Within this period, the patient was seen multiple times in primary health care services and at the ED. Detailed neurological examination was reported as normal. Non-steroidal anti-inflammatory drugs were prescribed at various times at the health center and ED, but the patient's complaints gradually increased, although there was no reduction in his pain during these four months. He had a past medical history of hypertension, chronic gastritis, and liver cirrhosis post hepatitis B, with no regular follow-up for the last three years. During the last ED visit, the patient’s vitals were stable. On physical assessment, motor and sensory examination results were normal. There was tenderness in the right gluteal region and the lower back. At the same time, it was seen that the anal sphincter tone was normal. There was no saddle anesthesia or signs of dropping foot. The X-ray of the pelvis and thoracic spine showed a compression fracture of thoracic (T) 9 vertebra, absence of right pedicle of lumbar (L) 4 vertebra, destruction of bilateral pubic rami and ischial tuberosity, a large pelvic bone lytic lesion accompanied by a secondary pathological fracture, as well as a large soft tissue component eroding the adjacent part of the sacrum (Figure 1).

         Thoracolumbar spine and pelvis computed tomography (CT) performed and showed multiple lytic lesions in the thoracic and lumbar spine involving both vertebral bodies and posterior elements of the spine. Bilateral pelvic bones multifocal lytic lesions with pathological fractures are seen (Figure 2).

         Magnetic resonance imaging (MRI) of the spine showed multiple expansile osteolytic lesions along the axial skeleton, including the thoracic and lumbar vertebrae, ribs, and pelvic bones. A large expansile lesion involving the posterior neural element of the (T3) vertebra with intraspinal epidural soft tissue component compressing the posterior aspect of the upper thoracic cord was noted. Another expansile lesion, as seen in the (T6) and (T7) vertebra with a large soft tissue component totally occluding the neural canal, was noted (Figure 3).

         The patient was admitted to the neurosurgery department for pain management and further workup. Alpha fetal protein (AFP) level was 12,244 IU/ml (AFP normal level 0-6 IU/ml). Pan CT showed extensive bony lesions with soft tissue components through the cervical spine, cirrhotic liver with portal hypertension, and extensive portosystemic collateral formation, metastases involving the liver and the lung parenchyma. The most likely diagnosis was hepatocellular carcinoma with metastases. The case was discussed in the oncology team meeting, and a decision for palliative radiotherapy was made considering the patient’s status and the cancer stage. The patient was discharged after one week, and a rapid appointment with the radiotherapy clinic was arranged.

    Discussion

         In this case report, we presented a patient who came to the emergency department with back pain and had metastatic bone lesions with failure to diagnose early, even after multiple visits to the hospital. It was quite surprising that the patient had osteolytic lesions, causing severe destruction, and yet, was mobile. We have not encountered a patient presentation with such advanced lesions and are still mobile in the literature. We tried to emphasize that advanced age is a red flag for low back pain. In addition, it should be kept in mind that the neurologic examination may be normal despite advanced vertebral lesions. Back pain is one of the common reasons for emergency presentation; it is a condition that seriously affects people's daily activities and comfort [1]. Our patient visited health care facilities frequently despite taking his analgesics properly. During the last days preceding the last visit, he had walking difficulties affecting his daily routine.  Low back pain is often defined as nonspecific or mechanical low back pain and constitutes 90% of the cases. Usually, the condition is self-limited and resolves within 4 to 6 weeks [3]. Rarely, patients may have serious pathologies, and critical diagnoses are often missed at the first presentation because of cognitive errors, lack of knowledge, and overlooked signs and symptoms [3]. Considering the frequency of patients presenting with back pain, it is necessary to comprehensively evaluate patients with lumbar complaints to keep patients with overlooked serious pathology to a minimum. The alarming signs should be figured out, and a detailed systemic investigation and examination should be carried out. Failure to notice these symptoms promptly can lead to a poor patient outcome. Getting a comprehensive history is particularly important in this stage. Our patient had history of liver cirrhosis post hepatitis B with no follow up for three years. This detail in history should alert the treating physician to consider further investigation considering the well-known risk of hepatocarcinoma in cirrhotic patients [6]. A complete physical examination following this will guide clinicians in recognizing the danger signs [7]. For this purpose, red flag scanning methods have been developed. While taking the history, age, history of surgery, trauma, immunosuppression, intravenous drug use, and sexual dysfunction should be questioned. In addition, the patient should be asked about any history of fever, anticoagulant use, urinary retention, epidural injection, decrease in anal sphincter tone, lower extremity motor weakness, and saddle anesthesia [8]. Serious pathologies can be revealed from the patient's history or by identifying abnormal musculoskeletal systems and abnormal neurological examination findings. In general, progression, change in character, or persistence of symptoms are alarming and may indicate serious pathology [8]. The presence of acute back pain in patients under the age of 18 or over the age of 50 should be a cause of concern. In young patients, congenital defects, spondylolysis, or vertebral fractures may be the cause of low back pain [9]. In patients over 50 years of age, new-onset back pain may be associated with intra-abdominal processes such as tumor, infection, abdominal aortic aneurysm, pancreatitis, or kidney stone. Osteoporosis accelerates with age progression. The decrease in the strength of bone tissue with osteoporosis may cause fractures in the bone tissue without trauma or with minor traumas. These fractures can be in the whole bone tissue as well as in the vertebrae. Therefore, vertebral fractures should be investigated in elderly patients presenting with acute onset low back pain. In addition, malignancy and metastatic bone lesions can be seen in both adolescents and the elderly, the presence of night pain and weight loss together with back pain requires investigation for malignancy [10]. Bone metastases are much more common than primary bone cancers, especially in adults [5]. Once cancer has spread to the bones, it is rarely curable, but treatments are used to slow the progression of the disease. Bone metastases may be osteolytic, osteoblastic, or mixed [5].
         Our patient had extensive osteolytic lesions, interestingly, his physical exam was reassuring and did not identify any neurological compromise. However, he had walking difficulties but was still ambulating with walking aid despite the extensive pelvic lesions with pathological fracture. This could be explained by the fact that body movement is multifactorial and does not depend only on bone integrity. Interactions between bones, muscles and joints play a major role in maintaining movements including the capacity of walking [11]. Osteolytic metastases are characterized by osteoclast-mediated destruction of normal bones. The main malignancies in which osteolytic metastases are seen are multiple myeloma, renal cell carcinoma, melanoma, non-small cell lung cancer, non-Hodgkin lymphoma, thyroid cancer, and Langerhans cell histiocytosis [12]. Osteoblastic metastases are characterized by new bone deposition. The main malignancies are prostate cancer, carcinoid, small cell lung cancer, Hodgkin lymphoma, or medulloblastoma [13]. Mixed metastases are malignancies in which both osteolytic and osteoblastic lesions are seen. The main causes are breast cancer, gastrointestinal cancer, and squamous cancers [14]. Bone metastasis in hepatocarcinoma are predominately osteolytic like in our case report, however osteoblastic or mixed lesions are possible [15].  Uncomplicated acute lower back pain and/or radiculopathy of less than six weeks is considered a self-limiting and benign low back pain and does not require any imaging studies. However, further investigation should be carried out to determine if malignancy or infection is suspected clinically by red flags or pathological markers. In the presence of severe, progressive neurological deficits, diagnostic imaging, and laboratory tests are recommended to guide treatment. Although the systemic examination is completely normal, initial investigation efforts should begin with X-ray, metastases and malignant tumors come to mind, especially if bone lesions are seen in advanced ages. For this reason, the age of patients with suspected bone tumors or metastasis at the time of presentation is of great importance [16]. For elderly patients with persistent back pain and advanced bone lesions, a comprehensive treatment plan is essential. Medications such as bone-building drugs (e.g., bisphosphonates), pain medications, steroids, hormone therapy, and chemotherapy play a crucial role in managing symptoms and reducing pain [6]. Radiation therapy, including intravenous radiation for multiple bone metastases and external beam radiation for localized pain relief, is also recommended [14]. Surgical interventions, such as curettage and bone grafting for benign lesions, marginal resection or wide resection for aggressive lesions, and minimally invasive spine stabilization for spinal involvement, are important treatment options [8]. Palliative care techniques, like percutaneous cryoablation and embolization, help manage pain and improve quality of life [14]. Early diagnosis through imaging techniques like X-rays, CT scans, and MRIs, along with a multidisciplinary approach and patient education, is vital for effective management and improved prognosis [16].

    Conclusion

         This case highlights the need for thorough evaluation in elderly patients with persistent back pain, especially when standard treatments fail. Despite extensive bone lesions and fractures, the patient's mobility was preserved, stressing the importance of considering malignancy, even with a reassuring physical exam. Physical exams can appear normal despite advanced lesions, hence a low threshold of suspicion for serious conditions like bone metastases should be maintained especially  in elderly patients. Comprehensive diagnostic workups, starting with X-rays and progressing to CT scans, MRIs, and lab tests, are crucial for early detection and management, enhancing symptom control and overall prognosis.

    Declarations
    Author contributions
    All authors contributed equally and validated the final version of record.

    Conflicts Of Interest
    The Author(s) declare(s) that there is no conflict of interest.

    Funding 
    This research received no specific grant from any funding agency in the public, commercial, or not-for-profit sectors.

    Registration
    No registration applicable

    Data availability statement 
    The data that support the findings of this study are available from the corresponding author upon reasonable request.

    Ethical approval
    The institution’s approval was obtained from Medical Research Center (CIRC-RDB-43-12-2022), and written informed consent was obtained from the patient.

    References

    1. Coombs DM, Machado GC, Richards B, Wilson R, Chan J, Storey H, et al. Healthcare costs due to low back pain in the emergency department and inpatient setting in Sydney, Australia. Lancet Reg Health West Pac. 2021 Jan 29;7:100089. https://doi.org/10.1016/j.lanwpc.2020.100089

    2. Traeger A, Buchbinder R, Harris I, Maher C. Diagnosis and management of low-back pain in primary care. CMAJ. 2017 Nov 13;189(45):E1386–E1395. https://doi.org/10.1503/cmaj.170527

    3. DePalma MG. Red flags of low back pain. JAAPA. 2020 Aug;33(8):8–11. https://doi.org/10.1097/01.jaa.0000684112.91641.4c

    4. Saes-Silva E, Vieira YP, Saes MO, Meucci RD, Aikawa P, Cousin E, et al. Epidemiology of chronic back pain among adults and elderly from Southern Brazil: a cross-sectional study. Braz J Phys Ther. 2021 May-Jun;25(3):344–351. https://doi.org/10.1016/j.bjpt.2020.12.005

    5. Macedo F, Ladeira K, Pinho F, Saraiva N, Bonito N, Pinto L, et al. Bone Metastases: An Overview. Oncol Rev. 2017 May 9;11(1):321. https://doi.org/10.4081/oncol.2017.321

    6. Shiffman ML. Approach to the patient with chronic hepatitis B and decompensated cirrhosis. Liver Int. 2020;40(Suppl. 1):22–26. https://doi.org/10.1111/liv.14359

    7. Oliveira CB, Maher CG, Pinto RZ, Traeger AC, Lin CC, Chenot JF, et al. Clinical practice guidelines for the management of non-specific low back pain in primary care: an updated overview. Eur Spine J. 2018 Nov;27(11):2791–2803. https://doi.org/10.1007/s00586-018-5673-2

    8. Verhagen AP, Downie A, Popal N, Maher C, Koes BW. Red flags presented in current low back pain guidelines: a review. Eur Spine J. 2016 Sep;25(9):2788–802. https://doi.org/10.1007/s00586-016-4684-0

    9. Casazza BA. Diagnosis and treatment of acute low back pain. Am Fam Physician. 2012 Feb 15;85(4):343–50.

    10. O'Sullivan P, Smith A, Beales D, Straker L. Understanding Adolescent Low Back Pain from a Multidimensional Perspective: Implications for Management. J Orthop Sports Phys Ther. 2017 Oct;47(10):741–751. https://doi.org/10.2519/jospt.2017.7376

    11. Lu TW, Chang CF. Biomechanics of human movement and its clinical applications. Kaohsiung J Med Sci. 2012 Feb 1;28(2S):S13–25. https://doi.org/10.1016/j.kjms.2011.08.004

    12. Della-Giustina D. Evaluation and treatment of acute back pain in the emergency department. Emerg Med Clin North Am. 2015 May;33(2):311–26. https://doi.org/10.1016/j.emc.2014.12.005

    13. Taube T, Elomaa I, Blomqvist C, Beneton MNC, Kanis JA. Histomorphometric evidence for osteoclast-mediated bone resorption in metastatic breast cancer. Bone. 1994 Mar 1;15(2):161–6. https://doi.org/10.1016/8756-3282(94)90703-X

    14. Coleman RE. Metastatic bone disease: clinical features, pathophysiology, and treatment strategies. Cancer Treat Rev. 2001 Jun;27(3):165–76. https://doi.org/10.1053/ctrv.2000.0210

    15. Yuan X, Zhuang M, Zhu X, Cheng D, Liu J, Sun D, et al. Emerging Perspectives of Bone Metastasis in Hepatocellular Carcinoma. Front Oncol. 2022 Jun 29;12:943866. https://doi.org/10.3389/fonc.2022.943866

    16. Coleman RE, Seaman JJ. The role of zoledronic acid in cancer: Clinical studies in the treatment and prevention of bone metastases. Semin Oncol. 2001 Apr 1;28:11–6. https://doi.org/10.1016/S0093-7754(01)90260-X

     

     

  • Unilateral optic disc swelling: an atypical presentation for a large frontal meningioma

    Intracranial masses pose frequent diagnostic dilemmas for community facing physicians especially in patients presenting with neurological or ophthalmological signs. We describe a case of a large meningioma in a 47-year-old man presenting with left sided optic disc swelling and right visual field disturbance alongside atypical headaches, and mild behavioural disturbance. Neuroimaging demonstrated a large mass with signs of raised intracranial pressure (ICP) and parenchymal  herniation. He underwent surgical debulking and biopsy, confirming the suspected diagnosis. Post-operative course was complicated by day one hemiparesis due to venous strokes, with full subsequent motor recovery. Whilst raised ICP is classically thought to cause bilateral optic disc swelling, unilaterality does not exclude this. Careful assessment and use of red flag indicators are therefore needed in determining need for neuroimaging. Declining utility of fundoscopy in non-specialists creates an additional barrier to diagnosis in these presentations and warrants increased research or training to bridge this gap.

    Introduction

         Primary brain tumours (BT) are common cancers in those under 65 but are uncommon when pooled across cancers in all ages. Despite this, they demonstrate disproportionately higher morbidity and mortality rates, even among non-malignant cases. Meningiomas represent the commonest non-malignant primary BT, with data from the United States demonstrating that they account for 53% of cases 1. Symptoms associated with intracranial masses include headaches, new focal neurology, visual acuity (VA) changes, persistent vomiting, new onset seizures or behavioural changes (including reduced energy, apathy, executive dysfunction and disinhibition) (2– 4). Symptoms such as these are commonplace, but as BT remain a rare cause each symptom, correctly diagnosing a brain tumour from such symptoms can be troublesome 3. For instance, at least 50% of headaches are attributed to primary causes: tensiontype, migraine and trigeminal neuralgia 5. Intracranial masses represent an important differential in these presentations.

         The challenge to community facing physicians is stratifying which patients require more investigation. Studies advocate for the utilisation of ‘red flag’ indicators in headache presentations. These include changes in severity from orthostatic/Valsalva manoeuvres, acute change in existing headaches, new headache in those >50 years, progressive change in headache over days/weeks, focal neurology or prior malignancy history 4. Fundoscopic assessment for raised optic discs should form a part of this diagnostic workup but, through multiple factors regarding training and healthcare professionals’ perceptions of this component, it’s utility by non-specialists, has been declining 6.

    Case report
         In September 2024, a 47-year-old man with a history of hypercholesterolaemia and hypertension was referred to the emergency department (ED) by his optician, having noted new left sided optic disc swelling compared to two months prior. This review was due to patient concerns of new progressive right eye visual disturbance despite a recent new glasses prescription. He denied loss of vision, diplopia or photophobia. The patient also reported intermittent, severe headaches with bilateral cervical to frontal radiation. He denied diurnal, orthostatic or Valsalva exacerbations and reported only a single, isolated episode of vomiting. He had achieved moderate control of these headaches with the use of simple analgesia, physiotherapy exercises and heat packs. He denied weight loss, fevers, change in energy levels or seizure activity during this time. The patient’s family raised concerns of cognitive changes including mild intermittent delays in responses to questions.

         Ophthalmological assessment demonstrated no diplopia, no visual field loss, normal conjugate gaze, normal pupillary light reflexes, no change in colour vision and no periorbital, cranial or cervical skin changes or tenderness. He was orientated to time, place and person with preserved attention and memory with his wife corroborating the history. With his new glasses prescription, right eye VA was 6/30 and left eye VA was 6/6. Following pupillary dilation using topical tropicamide drops, left sided optic disc swelling was visualised on fundoscopy with a normal appearing right optic disc.

         Further examination demonstrated preserved power (MRC grade 5/5) in all limbs, preserved reflexes, no loss to light touch sensation and no signs of cerebellar dysfunction.

         The ophthalmology team suggested computerised tomography (CT) imaging of the brain was indicated and, if negative for acute pathology, the patient could be reviewed as an outpatient. The neurology team also suggested a CT brain and, if this were negative, no further neurology input would be needed at this time. A CT angiogram demonstrated a large (52mm TR x 50mm AP x 49mm CC) right, homogenously hyperdense paraclinoid frontal lobe mass (Figure 1). Involvement of multiple intracranial arterial vessels was noted including narrowing and medial displacement of the right supraclinoid internal carotid artery (ICA), posteromedial displacement of the right M1 middle cerebral artery (MCA), non-enhancement of right M2 MCA (with surrounding collateral vessel enhancement) and displacement of the anterior cerebral arteries (ACA). This scan also demonstrated compression of the right optic nerve, global sulcal effacement, right lateral ventricle effacement, anterior and posterior clinoid process erosions and 14mm left midline shift. Given the appearance and location, a sphenoid wing meningioma was suspected.

         Given these findings, this patient was discussed with the neurosurgical on call team. He was commenced on oral dexamethasone and transferred urgently to the tertiary neurosurgical centre for urgent review. Magnetic Resonance Imaging (MRI) (Figure 2) of his brain and orbits detailed further significant vascular involvement, including invasion of the right cavernous sinus, encasement of the right supraclinoid ICA, proximal right M1 MCA and foetal posterior cerebral artery (PCA). The A1 ACA segment was absent or occluded and the right M1 MCA was severely stenosed. The mass directly abutted the lateral surface of the right optic nerve but without evidence of involvement or chronic nerve atrophy (Figure 3).

         Formal ophthalmology assessment noted improvement in his VA to 6/6 bilaterally with grade 1-2 optic disc swelling in the left eye without evidence of vascular changes and normal appearance of the right optic disc. Operative management involved craniotomy with dissection of the tumour, retrograde to the direction of the MCA. Gradual tumour bulk removal allowed for visualisation of the optic nerve, ICA, ACA, MCA, posterior communicating artery (PCOM) and anterior communicating artery. Despite the operation’s success in removing the majority of the tumour bulk, the mass was closely adherent to the MCA (and associated perforators),  avernous sinus and right posterior communicating artery. These sections were unable to be completely excised. Biopsies were taken, demonstrating tissue consistent with World Health Organisation (WHO) grade 1 meningioma without invasion into brain parenchyma.

         Post-operative recovery was complicated with day one dense left hemiparesis. A CT stroke code identified an acute right MCA territory infarct with a subsequent MRI identifying acute infarcts of the right basal ganglia and caudate head. As perforator arteries were thought to be culprit, the patient was managed conservatively, where, over the following week, he made a full  neurological recovery. This rapid symptomatic improvement suggested that the observed infarcts were likely related to venous strokes. On discharge, the patient had regained power, was mobilising independently and remained fully cognisant. He was planned for reviews from neurosurgical, endocrinology, ophthalmology and physiotherapy perspectives.

    Discussion

         This case demonstrates a rare and important presentation for community facing clinicians when assessing individuals for raised ICP, both regarding the discordance in findings between eyes and the atypical secondary symptoms.
         Presentation with unilateral optic disc swelling was the main diagnostic dilemma, especially given the contralateral changes in reported vision. Classically, an intracranial mass large enough to precipitate raised ICP and therefore optic disc swelling is thought to do so bilaterally7. Unilateral optic disc swelling usually suggests local pathologies (AION, ON and, by extension, multiple sclerosis) or with concomitant contralateral optic nerve atrophy (Foster-Kennedy syndrome (FKS)) 8.

         FKS may have offered an explanation in the mismatch between optic disc appearance and VA changes. Though, without direct evidence of optic nerve involvement or atrophy, this case would not match this conditions usual phenotype 8. Pathophysiological studies demonstrated that development of raised optic discs is not directly due to raised ICP, rather consequential disruptions in axoplasmic flow within the optic nerve sheath causing cellular oedema and extracellular fluids accumulation. These studies also demonstrated that supratentorial masses would initially lead to a unilateral or asymmetrical raised optic disc but, importantly, affecting the optic nerve ipsilateral to the mass – contrary to this case 7.

         Case reports detailing individuals presenting with unilateral optic disc swelling are sparse with the majority of these attributed to idiopathic intracranial hypertension (IIH) 9. Knowledge of this atypical presentation is therefore crucial to avoid premature exclusion of raised ICP.

         The additional symptoms in this patient’s presentation were also not stereotypical for an intracranial mass. His headache lacked the orthostatic variation and persistent vomiting consistent with raised ICP. Secondly, the behavioural changes reported by his family were not fully consistent with those usually found in frontal brain tumours (apathy, disinhibition, executive dysfunction or anergy) 2.

         Bedside fundoscopy remains an important component of these assessments 7. Despite this, clinical utilisation by non-specialists has been declining. Contributory factors to this include lack of equipment or knowledge to perform the examination, perceived disapproval from seniors and low perceived clinical utility 6.Bedside ocular ultrasound (BOUS) has been shown to be a useful non-invasive clinical adjunct to assess for the presence of optic disc swelling, demonstrating sensitivities between 90-100% and may offer an alternative approach to this part of the assessment 10.

    Conclusion

         Intracranial masses remain an important differential for those presenting with visual changes, headaches and changes in behaviour. With the ever-increasing utilisation of CT imaging in the ED, investigating such pathologies is becoming more straightforward. This case demonstrates the importance of a comprehensive assessment in those with symptoms consistent with raised ICP, with specific focus on lesser assessed and atypical features. This, combined with screening for red flag symptoms, are key to stratifying these patients, allowing for early identification of potentially life threatening diagnoses.

         The linchpin in this case was the ophthalmoscopy findings, as without this, he may have presented later in his disease course. Given the noted decline in fundoscopy in non-specialists, without work into increasing its utility or incorporating alternative tools, patients such as this, may be missed.

    Declarations

    Author contributions

    All authors contributed equally and validated the final version of record.

    Conflicts Of Interest

    The Author(s) declare(s) that there is no conflict of interest.

    Funding

    This research received no specific grant from any funding agency in the public, commercial, or not-for-profit sectors.

    Registration

    No registration applicable

    Data availability statement

    The data that support the findings of this study are available from the corresponding author upon reasonable request.

    Ethical approval

    Written informed consent was given by the patient about which this case was written. Details of the history have been anonymised and any imaging for this report have been deidentified. Ethics approval for this case report has been granted by the local hospital ethics committee. ERM: 114100.

    References

    1. Miller KD, Ostrom QT, Kruchko C, Patil N, Tihan T, Cioffi G, et al. Brain and other central nervous system tumor statistics, 2021. CA Cancer J Clin. 2021 Sep 24;71(5):381–406. https://doi.org/10.3322/caac.21693

    2. Cabrera S, Edelstein K, Mason WP, Tartaglia MC. Assessing behavioral syndromes in patients with brain tumors using the frontal systems behavior scale (FrSBe). Neurooncol Pract. 2016 Jun 1;3(2):113–9. https://doi.org/10.1093/nop/npv055

    3. Comelli I, Lippi G, Campana V, Servadei F, Cervellin G. Clinical presentation and epidemiology of brain tumors firstly diagnosed in adults in the Emergency Department: a 10-year, single center retrospective study. Ann Transl Med. 2017 Jul;5(13):269. https://doi.org/10.21037/atm.2017.06.12

    4. Palmieri A, Valentinis L, Zanchin G. Update on headache and brain tumors. Cephalalgia. 2021 Apr 28;41(4):431–7. https://doi.org/10.1177/0333102420974351

    5. Viera AJ, Antono B. Acute Headache in Adults: A Diagnostic Approach. Am Fam Physician. 2022 Sep;106(3):260–8.

    6. Dunn HP, Kang CJ, Marks S, Dunn SM, Healey PR, White AJ. Optimising fundoscopy practices across the medical spectrum: A focus group study. PLoS One. 2023;18(1):e0280937. https://doi.org/10.1371/journal.pone.0280937

    7. Hayreh SS. Pathogenesis of optic disc edema in raised intracranial pressure. Prog Retin Eye Res. 2016 Jan;50:108–44. https://doi.org/10.1016/j.preteyeres.2015.10.001

    8. Hata M, Miyamoto K. Causes and Prognosis of Unilateral and Bilateral Optic Disc Swelling. Neuroophthalmology. 2017 Apr 10;41(4):187–191. https://doi.org/10.1080/01658107.2017.1299766

    9. Huna–Baron R, Landau K, Rosenberg M, Warren FA, Kupersmith MJ. Unilateral swollen disc due to increased intracranial pressure. Neurology. 2001 Jun 12;56(11):1588–90. https://doi.org/10.1212/wnl.56.11.1588

    10. Carter SB, Pistilli M, Livingston KG, Gold DR, Volpe NJ, Shindler KS, et al. The role of orbital ultrasonography in distinguishing papilledema from pseudopapilledema. Eye (Lond). 2014 Dec 5;28(12):1425–30. https://doi.org/10.1038/eye.2014.210

     

  • Peritoneal carcinomatosis presenting as a mimic for DVT

    Unilateral leg swelling poses a diagnostic challenge with a myriad of potential differential diagnosis, including deep vein thrombosis (DVT), Baker's cyst, and cellulitis. As some of these causes can be benign and easily treatable, other causes may be more severe and even life threatening. This article highlights the critical need for healthcare professionals to expand their differential diagnosis when common causes have been excluded, recognizing that some rare etiologies may signify severe underlying conditions. We present the case of a 55-year-old female with a two-month history of right leg swelling, initially attributed to erysipelas due to negative DVT findings. Upon closer examination, an abdomino-pelvic CT scan revealed diffuse peritoneal carcinomatosis, obstructing the right external iliac vein and elucidating the unilateral lower limb edema. This case focuses the importance of considering atypical causes, especially in patients with a history of cancer, and the potential life-threatening nature of rare etiologies. The article emphasizes the significance of a multidisciplinary approach, comprehensive laboratory assessments, and advanced imaging techniques in achieving accurate and timely diagnoses, ultimately guiding effective patient management.

    Introduction

         Unilateral leg swelling can be attributed to various factors, with deep vein thrombosis (DVT), Baker's cyst, and cellulitis being the most prevalent causes. It is particularly crucial for healthcare professionals to promptly diagnose DVT, due to its potential life-threatening complication of pulmonary embolism (1).

         When ruling out these more common etiologies, it is important to recognize that numerous less common causes of unilateral leg swelling exist, spanning a spectrum from benign to potentially serious conditions. Therefore, clinicians should be mindful of rare etiologies, such as arterial insufficiency, lymphatic or venous obstruction, or systemic diseases like vasculitis (2). Conditions like popliteal artery entrapment syndrome, lymphangioleiomyomatosis, or Behçet's disease may present with unilateral leg swelling, posing diagnostic challenges due to their infrequent occurrence (3). Furthermore, certain rare genetic disorders, such as hereditary angioedema or Milroy's disease, can manifest as unilateral leg swelling (4). These conditions, though infrequent, underscore the importance of considering a broad differential diagnosis.

         In fact, any lesion or disease process that mechanically obstruct major abdominal veins, can potentially present as unilateral or bilateral leg swelling, mimicking DVT, ranging from cysts, malignancies, even abscesses (5). This article presents a never yet reported case of upstream venous obstruction, due to diffuse peritoneal carcinomatosis obstructing at the level of the right external vein, in a patient with 2-month history of unilateral leg swelling, with negative workup for DVT and no improvement with antibiotics.

    Case presentation

         This is the case of a 55-year-old female patient, known to have breast carcinoma in 2010 status post remission after chemotherapy and radiotherapy, and endometrial cancer in 2019 status post hysterectomy and bilateral oophorectomy, presented to the emergency room for unilateral right leg pain and swelling of two months duration.

         The history goes back to multiple visits to her primary care physician for the same complaint; ultrasound was conducted at that time and eliminated a DVT of the lower extremity, or the presence of a cyst. The patient was then prescribed antibiotics, assuming erysipelas was the etiology of the clinical presentation. After a 7 days course of treatment, the patient noticed no amelioration, therefore she presented to the emergency department.

         Upon presentation, the patient was tachycardic, afebrile and in pain. Physical exam was unremarkable, except for non-pitting right lower limb edema extending to the mid-thigh, with minimal erythema and positive pedal pulses (Figure 1).

         Review of personal history was non-significant except for the previously mentioned oncologic disorder, and recent ablation of a cutaneous lesion on right leg that was found benign on histology; review of family history and review of systems were insignificant.

         Laboratory workup were ordered and showed an elevated D-Dimer (3120 ng/ml with a reference value of <500 ng/ml) and CRP (22 mg/L), with a negative white blood cells count, normal creatinine and normal liver enzymes. In light of a negative DVT workup, and elevated D-Dimer, malignancy was suspected, and therefore an abdominal-pelvic CT with injection was ordered. Surprisingly, the report showed diffuse peritoneal carcinomatosis, with an intra-peritoneal speculated lesion, lateral to the bladder on the right, compressing the right external iliac vein that could explain the unilateral lower limb swelling. After seeking surgical, gynecologic and oncologic consults, the plan was to admit the patient and put her on prophylactic anticoagulation, waiting for further investigations and management, including chest CT scan, MRI of the pelvis, biopsies.  

    Verbal consent was taken from the patient to publish these data anonymously.

    Discussion

         This case highlights the imperative need for healthcare professionals to maintain a broad and comprehensive approach when confronted with unilateral leg swelling, particularly when common etiologies like deep vein thrombosis (DVT), Baker's cyst, and cellulitis have been ruled out. Although rare etiologies can be benign and non-life threatening, others can be more serious, and can be the superficial, visible tip of an iceberg, hiding underneath the surface a very serious condition, that needs prompt investigations and management. For instance, the case of unilateral lower limb edema, depicted in this report, unveiled a hidden malignancy and introduces a rare etiology of venous obstruction, although mechanical obstruction due to compression by a mass is relatively a common cause of edema and swelling (6), having peritoneal carcinomatosis as the cause of the presentation is not documented in the literature yet. In fact, obstruction related to peritoneal carcinomatosis have been reported mainly as small bowel occlusion (highlighting the distinctiveness of this case report (7-8).

         Furthermore, this patient had strong risk factors and signs for DVT: unilateral leg swelling, 2 months duration, elevated D-Dimer, history of breast and endometrial cancer, no improvement on antibiotics, and was tachycardic upon presentation (which could be a sign of consequences of DVT such as pulmonary embolism), which could easily lead to a bias in diagnosis; but the negative Doppler Ultrasound mead the physicians in the emergency department into further investigation. Given her past medical history, other diagnosis could be thought of such as idiopathic lymphedema, heart failure, kidney failure, pulmonary hypertension … all of which were eliminated by the physical exam, laboratory workup and imaging done in the ER.

         The delayed diagnosis in this case demonstrates the potential life-threatening nature of rare etiologies and the importance of promptly identifying and addressing them, even though Peritoneal Carcinomatosis (PC) is a late-stage manifestation of several gastrointestinal and gynecological malignancies, and is usually a sign of metastatic disease and has a poor prognosis (9).

         Finally, it is important to note that, in low-resource settings, the practical challenges of investigating lower limb edema can be significant. Relying on expensive imaging techniques like CT scans may not be realistic due to the high costs involved and limited access to such technology. This can make it difficult for healthcare providers to accurately diagnose the underlying cause of a similar presentation and develop an appropriate treatment plan. In these settings, healthcare providers may need to rely on less expensive and more readily available diagnostic tools, such as physical exams and basic laboratory tests, which can lead to misdiagnosis.

         The multidisciplinary approach taken, involving surgical, gynecologic, and oncologic consultations, exemplifies the complexity of managing such cases. The decision to initiate anticoagulation while awaiting additional investigations reflects a cautious approach given the potential complications associated with venous obstruction, including a chest CT to rule out any potential pulmonary embolisms. Further investigations are in order, including MRI, biopsies with histological and pathological studies to assess the extent of the disease and potentially the source of PC.

    Conclusion

         This case underscores the significance of broadening the differential diagnosis for unilateral leg swelling beyond common causes. Clinicians should remain vigilant for rare etiologies, recognizing their potential to be life threatening or indicative of more extensive and serious underlying conditions. A multidisciplinary approach, comprehensive laboratory assessments, and advanced imaging techniques are essential in ensuring timely and accurate diagnoses, thereby facilitating appropriate and effective patient management.

    References

    1. Brice G, Mansour S, Ostergaard P, Connell F, Jeffery S, Mortimer P. Milroy disease. In: Adam M, Ardinger H, Pagon R, Wallace S, Bean L, Stephens K, et al., editors. GeneReviews(®) [Internet]. Seattle (WA): University of Washington, Seattle; 1993. Available from: https://www.ncbi.nlm.nih.gov/books/NBK1239/

    2. Davis DD, Shaw PM. Popliteal artery entrapment syndrome. In: StatPearls [Internet]. Treasure Island (FL): StatPearls Publishing; 2023. Available from: https://www.ncbi.nlm.nih.gov/books/NBK441965/

    3. Demarest K, Lavu H, Collins E, Batra V. Comprehensive Diagnosis and Management of Malignant Bowel Obstruction: A Review. J Pain Palliat Care Pharmacother. 2023 Jan 2;37(1):91–105. https://doi.org/10.1080/15360288.2022.2106012

    4. Elgendy IY, Lo MC. Unilateral lower extremity swelling as a rare presentation of non-Hodgkin’s lymphoma. BMJ Case Rep. 2014 Jan 13;2014:bcr2013202424. https://doi.org/10.1136/bcr-2013-202424

    5. Gasparis AP, Kim PS, Dean SM, Khilnani NM, Labropoulos N. Diagnostic approach to lower limb edema. Phlebology. 2020 Oct 1;35(9):650–5. https://doi.org/10.1177/0268355520938283

    6. Ijaz M, Sakam S, Ashraf U, Marquez JG. Unusual Presentation of Recurrent Pyogenic Bilateral Psoas Abscess Causing Bilateral Pulmonary Embolism by Iliac Vein Compression. Am J Case Rep. 2015;16:606–610. https://doi.org/10.12659/ajcr.894206

    7. Santangelo ML, Grifasi C, Criscitiello C, Giuliano M, Calogero A, Dodaro C, et al. Bowel obstruction and peritoneal carcinomatosis in the elderly. A systematic review. Aging Clin Exp Res. 2017 Feb 1;29(1):73–8. https://doi.org/10.1007/s40520-016-0656-9

    8. Stone J, Hangge P, Albadawi H, Wallace A, Shamoun F, Knuttien MG, et al. Deep vein thrombosis: pathogenesis, diagnosis, and medical  management. Cardiovasc Diagn Ther. 2017 Dec 21;7(Suppl_3):S276–84. https://doi.org/10.21037/cdt.2017.09.01

    9. Szadkowska MA, Pałucki J, Cieszanowski A. Diagnosis and treatment of peritoneal carcinomatosis – a comprehensive overview. Pol J Radiol. 2023;88:89–97. https://doi.org/10.5114/pjr.2023.125027

  • The Killer Wound; Early Diagnosis and Management of Necrotizing Fasciitis Utilizing Point-of-Care Ultrasound: A Case Repor

    Background: Necrotizing fasciitis (NF) is a rapidly progressive and life-threatening infection of the fascia and subcutaneous tissues. Early diagnosis and prompt surgical intervention are critical to reducing morbidity and mortality. This case report highlights the importance of point-of-care ultrasound (PoCUS) in the rapid diagnosis of NF.

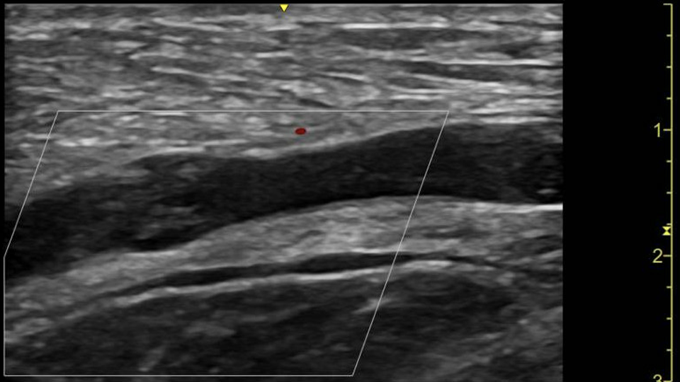
    Case Presentation: A  34-year-old male carpenter presented to the Emergency Department of Casey Hospital, with a 48-hour history of increasing swelling and pain in his right arm and chest. Two weeks prior, he sustained an open wound to his right wrist from a rusty nail. Initial management by his family doctor focused on musculoskeletal injury without antibiotics. On ED presentation, the patient exhibited signs of systemic infection and gross swelling of the right upper limb and chest. PoCUS demonstrated characteristic findings of NF, including cobble stoning and subcutaneous air with dirty shadowing, leading to an expedited surgical consultation and immediate intervention.

    Management and Outcome: The patient underwent multiple debridements, antibiotic therapy, and hyperbaric oxygen therapy. Post-surgical rehabilitation showed substantial gains in function and mobility.

    Discussion: This case underscores the crucial role of PoCUS in the early diagnosis and management of NF. PoCUS allows for rapid bedside imaging, enabling timely surgical consultation and intervention, thereby improving patient outcomes. The multidisciplinary approach, involving emergency physicians, surgeons, and intensivists, is essential for optimal management of NF.

    Conclusion: Early recognition and treatment, facilitated by PoCUS, are key to reducing the high morbidity and mortality.



    Key Messages

    * Early surgical intervention and antibiotic therapy are crucial in reducing morbidity and mortality in Necrotizing Fasciitis.

    * Multidisciplinary coordination is required for patient stabilization and rapid transfer from the Emergency Department to the operating theatre, as surgical debridement is the definitive treatment.

    * Utilization of Point-of-Care Ultrasound (PoCUS) is essential for the early diagnosis and management of Necrotizing Fasciitis and associated complications, significantly impacting patient outcomes.

    Presentation

         In November 2022, a 34-year-old male carpenter presented to the Emergency Department (ED) of Casey Hospital, Monash Health, a 229-bed facility providing comprehensive health services, including ICU, to Melbourne’s outer-east communities. The patient reported increased swelling and pain in his right arm and chest over the past 48 hours. Two weeks prior, he sustained an open wound to the dorsum of his right wrist from a rusty nail at work. He did not seek medical treatment and only cleaned the wound with a Betadine wash. Three days before presenting to the ED, he visited his family doctor due to feeling unwell with right arm swelling and right-sided chest pain. He was managed as a musculoskeletal (MSK) injury with analgesia, including non-steroidal anti-inflammatory drugs (NSAID), and rest. The day before his ED presentation, he revisited his family doctor with worsening pain and lethargy. An X-ray and MSK ultrasound were planned, and the NSAID was discontinued. No antibiotics were considered at that time.

    Initial ED Assessment and Management

         Upon ED presentation, he was tachycardic at 139/min, borderline tachypneic at 28 breaths per minute, apyrexial at 36.7°C, with an initial blood pressure of 115/78 mmHg. Examination revealed gross swelling of the right upper limb and chest, a 2 cm sloughy, partially healed open wound on the posterior aspect of the right forearm with surrounding erythema, and no purulent discharge (Figure 1). No palpable subcutaneous emphysema was noted. A C6 dermatomal sensation deficit was observed, likely secondary to inflammation and swelling. Capillary refill time (CRT) was greater than 5 seconds with a palpable radial pulse. The patient reported increasing pain, intermittent fevers, anorexia, and anuria for the past two days1. His social history revealed he was a non-smoker, social drinker, and did not use illicit drugs.

    ED Investigations and Initial Management

         He was triaged as category 2 (ATS; to be seen within 10 minutes) and self-mobilized to a resuscitation cubicle after identification of his critical condition. Observations and monitoring were applied, and two large-bore 18G IV cannulas were inserted into his left arm. An ECG (Figure 2) showed sinus tachycardia. Pathology tests, including a venous blood gas, inflammatory markers, UECs, LFTs, coagulation screen, and troponin, were taken2.

         His VBG indicated respiratory acidosis (pH 7.09, pCO2 65) and profound hyperlactatemia of 10.5. It also noted a haemoglobin of 166, potentially being indicative of dehydration/sepsis. His electrolytes were noted to be mildly deranged (Na 133, K 5.1, Cl 97).

         With a provisional diagnosis of sepsis, resuscitation with crystalloid intravenous fluids (NaCl) was initiated. Point-of-Care Ultrasound (PoCUS) demonstrated cobblestoning and subcutaneous air with dirty shadowing of the entire upper limb and right-side chest wall3 (Figure 3), suspicious for Necrotizing Fasciitis, as well as a non-compressible proximal part of the axillary vein suspicious for concurrent thrombus (Figure 4), likely secondary to swelling and immobility. Extended PoCUS showed a  hyperdynamic heart without effusion, LV dysfunction, or significant right heart strain. 

         Triple antibiotics, including clindamycin, piperacillin/tazobactam, and vancomycin, were commenced according to therapeutic guidelines4, followed by surgical and plastics consultation for urgent debridement5 in the operating theatre (OT) and post-op ICU admission. During transport to OT, he became hypotensive with septic shock and was managed with peripheral metaraminol with a good temporary response.

    Operative and Post-ED Management

         Upon arrival to the theatre, he was intubated, and invasive access for monitoring and management, including arterial and central venous lines, was established. Initial debridement found a large collection of pus under the pectoral, with pustular tracts noted between the pectoral major and minor towards the axilla. The fascia was healthy. Further exploration later that night revealed pus collections in the acromioclavicular and sternoclavicular joints, requiring washouts. Tissue samples were sent for microscopy and culture. Triple antibiotic therapy continued, and he was transferred to the ICU at Casey Hospital.

         With a confirmed diagnosis of Necrotizing Fasciitis intraoperatively, he was transferred to the Alfred Hospital, a metropolitan tertiary centre, for hyperbaric oxygen therapy and ongoing care. At the Alfred Hospital, he underwent two further debridements. His antibiotics were changed to cefepime, benzylpenicillin, and clindamycin, aligned with intraoperative tissue sample antibiogram sensitivities. Nasogastric feeds commenced, and he weaned off vasopressor support. Bilateral pleural effusions secondary to sepsis were found, and intercostal catheters were placed after bronchoscopy.

         He was transferred back to Monash Health (Dandenong Hospital) for ongoing management under plastics surgery care. Due to ongoing fevers and concerns for an empyema, his antibiotic therapy was escalated to include ciprofloxacin, linezolid, metronidazole, and micafungin4. 

    Surgical Timeline

    D0: Initial debridement of the right upper limb/chest wall with biopsies concerning for Necrotizing Fasciitis.

    D2: Secondary debridement of the right arm/axilla/chest wall.

    D4: Third debridement with change of VAC dressing right upper limb and chest wall.

    D7: Fourth debridement and VAC change right arm, axilla, and chest.

    D14: VAC change and re-washout (assisted by Cardiothoracic Surgical team).

    D16: VAC change right chest wall.

    D21: Right axilla debridement and VAC change.

     Discussion

    Diagnosis of Necrotizing Fasciitis

         Necrotizing Fasciitis is a rapidly progressive, life-threatening infection of the fascia and subcutaneous tissues that requires immediate medical and surgical intervention. Early diagnosis is crucial to prevent significant morbidity and mortality. Clinical diagnosis can be challenging due to its variable presentation and overlap with other less severe soft tissue infections. Typical symptoms include severe pain, swelling, erythema, and systemic signs of sepsis such as fever, tachycardia, and hypotension. However, these symptoms can be nonspecific and may lead to initial misdiagnosis, as seen in this case, where the patient was initially treated for a musculoskeletal injury6. Diagnostic imaging plays a pivotal role in the early detection and management of Necrotizing Fasciitis. Radiographic imaging such as X-rays may show soft tissue gas, while computed tomography (CT) and magnetic resonance imaging (MRI) can provide more detailed information regarding the extent of infection. However, these modalities can be time-consuming, and may delay critical treatment.

    Utility of Point-of-Care Ultrasound (PoCUS) in Diagnosis

         Point-of-Care Ultrasound (PoCUS) has emerged as a valuable tool in the rapid diagnosis of Necrotizing Fasciitis, especially in the emergency department setting. PoCUS allows for bedside imaging, which can significantly reduce the time to diagnosis and subsequent treatment. In this case, PoCUS was instrumental in identifying the hallmark features of Necrotizing Fasciitis, including cobblestoning, subcutaneous air with dirty shadowing, and non-compressible veins suggesting thrombus formation7. These findings prompted immediate surgical consultation and expedited surgical intervention. The utility of PoCUS extends beyond diagnosis to include ongoing management and monitoring of disease progression. It provides real-time information about the extent of infection and can be used to guide fluid resuscitation, identify complications, such as abscess formation, and monitor the effectiveness of therapeutic interventions. Additionally, PoCUS can be used to evaluate cardiac function and detect hemodynamic instability, as was done in this case6.

     Antibiotic Stewardship

         The Australian Therapeutic Guidelines (ETG) is a leading source of independent, evidence based, practical treatment advice to assist practitioners with decision making at the point-of care. The content is regularly updated, based on the latest international literature, interpreted by Australia’s most respected experts, with input from an extensive network of general practitioners, pharmacists and other users. Thus, becoming the standard of practice in Australasia and most other countries like the United Kingdom and the United States of America. As per ETG, three antibiotics are required for empirical therapy for necrotizing skin Infections; Either meropenem or piperacillin/tazobactam, plus vancomycin, plus either clindamycin or lincomycin can be commenced4. This regime provides appropriate gram-positive and gram-negative aerobic cover, as well as coverage for anaerobes and MRSA.

     Decision for Limb Sparing Surgery

         In many instances there is a preference to preserve limbs whilst performing surgical intervention if possible. This coincides with the desire to avoid amputation in order to best return the patient to as close to return of function as possible8. Even though there is a deficit in published studies to support this claim, it was the preferred choice of the patient and the surgical team.

    Role of Multi-Disciplinary Intervention

         The initial suspicion and subsequent diagnosis of Necrotizing Fasciitis was completed by the Emergency Department team. Prompt inclusion of the intensive care, surgical/plastics team was required for definitive and post operative supportive treatment9. Post operative care included allied health involvement (physiotherapy, hand therapy, occupational therapy and social work). A multi-disciplinary approach provided the best outcome for this patient, giving him the greatest chance for return to function.

     Conclusion

         This case highlights the critical importance of early diagnosis and multidisciplinary management in patients with Necrotizing Fasciitis. Point-of-Care Ultrasound (PoCUS) proved to be a rapid, effective diagnostic tool that facilitated prompt surgical intervention and appropriate medical management, ultimately improving patient outcomes10. Early recognition and aggressive treatment, including the use of PoCUS for rapid bedside assessment, are key to reducing the high morbidity and mortality associated with Necrotizing Fasciitis.

    Patient Outcome

    Following surgical interventions, antibiotic therapy, and rehabilitation, the patient has made significant gains in function and mobility. Almost two years post-initial presentation, he has not fully returned to baseline but continues to make progress (Figure 5).

    References

    1.      Stevens DL, Bryant AE, Goldstein EJ. Necrotizing soft tissue infections. Infect Dis Clin North Am. 2021;35(1):135–155. https://doi.org/10.1016/j.idc.2020.10.004

    2.      Fernando SM, Tran A, Cheng W, Rochwerg B, Kyeremanteng K, Seely AJE, et al. Necrotizing Soft Tissue Infection: Diagnostic Accuracy of Physical Examination, Imaging, and LRINEC Score: A Systematic Review and Meta-Analysis. Ann Surg. 2019;269(1):58–65 https://doi.org/10.1097/SLA.0000000000002774

    3.      Marks A, Patel D, Sundaram T, Johnson J, Gottlieb M. Ultrasound for the diagnosis of necrotizing fasciitis: a systematic review of the literature. Am J Emerg Med. 2023;65:31–35. https://doi.org/10.1016/j.ajem.2022.12.037

    4.      Therapeutic Guidelines [Internet]. 2024 [cited 2024 Dec 9]. Therapeutic Guidelines | Independent, reliable, relevant and respected. Available from: https://www.tg.org.au/

    5.      Wong CH, Yam AK, Tan AB, Song C. Approach to debridement in necrotizing fasciitis. Am J Surg. 2008;196(3):e19–e24. https://doi.org/10.1016/j.amjsurg.2007.08.076

    6.      Goh T, Goh LG, Ang CH, Wong CH. Early diagnosis of necrotizing fasciitis. Br J Surg. 2014;101(1):e119–e125. https://doi.org/10.1002/bjs.9371

    7.      Kohen B, Halperin M, Felix G, Dixon T, Montenegro M, Patel F. Sonographic crepitus, a point-of-care ultrasound finding. POCUS J. 2022;7(1):129–130 https://doi.org/10.24908/pocus.v7i1.15406

    8.      Misiakos EP, Bagias G, Patapis P, Sotiropoulos D, Kanavidis P, Machairas A. Current concepts in the management of necrotizing fasciitis. Front Surg. 2014;1:36. https://doi.org/10.3389/fsurg.2014.00036

    9.      Marchesi A, Marcelli S, Parodi PC, Perrotta RE, Riccio M, Vaienti L. Necrotizing fasciitis in aesthetic surgery: a review of the literature. Aesthetic Plast Surg. 2017;41(2):352–358. https://doi.org/10.1007/s00266-016-0754-2

    10.  Raj S, Williams EM, Davis MJ, Abu-Ghname A, Luu BC, Buchanan EP. Cost-effectiveness of multidisciplinary care in plastic surgery: a systematic review. Ann Plast Surg. 2021;87(2):206–210. https://doi.org/10.1097/SAP.0000000000002931

  • Spinal Rosai-Dorfman Disease with Isolated Severe Neuropathic Pain: A Case Report

    Introduction: Rosia-Dorfman disease is a rare histiocytic disorder that presents as generalized lymphadenopathy. Rarely, patients experience atypical extra-nodal manifestations which can mimic other diseases. 
    Case Presentation: We report a challenging diagnosis of Rosai-Dorfman disease in a 52-year-old female presenting with isolated symptomatic neuropathic pain. After excluding common diseases, a challenging diagnosis was made based on imaging, CSF studies and clinical progression that showed thoracic spine involvement and emperipolesis confirming RDD diagnosis and with a great clinical response to corticosteroids.

    Discussion: Clinical, laboratory and radiologic manifestations of the disease can vary a lot depending on the areas involved and patient progression. This can lead to challenges in establishing the diagnosis and deciding on treatment. Then unusual, first reported manifestations in our patient made the diagnosis exceptionally challenging, highlighting the importance of this report.

    Conclusion: This disease can have an atypical presentation that should be detected early to avoid any delay in diagnosis or treatment. Unusual cases must be reported to aid in such a difficult diagnosis in future similar cases.

     

    Introduction

         Rosai-Dorfman disease (RDD) is a rare non-neoplastic histiocytic disorder, also known as sinus histiocytosis with massive lymphadenopathy. Histopathologically, RDD emperipolesis is seen as the phagocytosis of erythrocytes and lymphocytes without their destruction.1 Usually, this disease presents as painless lymphadenopathy affecting cervical nodes.  However, extra-nodal involvement is seen in more than 40% of the cases. 2 Such presentations are challenging to diagnose because they have a plethora of symptoms and mimic many multisystemic illnesses and malignancies such as lymphomas, tuberculosis and other granulomatous diseases.3 In addition, multi-site involvement is a common manifestation, affecting up to 73% of cases in some studies.4 Involvement of the central nervous system (CNS) is rare with only 210 reported cases.5 Due to this lack of literature, and in the absence of a consensus diagnostic and treatment approach, management of such patients is difficult.4  Here, we present a patient with a progressive lymphadenopathy with thoracic spinal cord involvement, which is, to our knowledge, among the first reported cases of RDD with such a presentation.

    Case Report

         We describe a case of Mrs. X, a 52-year-old female who presented to us on the 30th of January, of 2023 for lower back pain radiating to the thighs bilaterally. Two months ago, she received a lumbar spine corticosteroid injection for radiculopathy. Four weeks later she started having headaches and low-grade fevers of 38.5C. She presented to another institution where a head scan revealed chronic sinusitis, and she was then discharged on antibiotics. The symptoms continued, and on 13th of January 2023 she was admitted in another institution, and a repeat head scan was also normal and a urinalysis, troponin, Brucella serology, Borrelia serology, gamma-glutamyl transferase, alkaline phosphatase, bilirubin, Aspartate transaminase, and Alkaline Transaminase were insignificant. She was discharged on symptomatic treatment. Two weeks later she started having progressively worsening abdominal pain with back tenderness radiating to the thighs, where she was readmitted, and a plain brain and spine Magnetic Resonance Imaging (MRI) showed mild degenerative spondylosis. An electromyogram (EMG) which was normal, and she was diagnosed with fibromyalgia. The symptoms persisted until the patient presented to our institution on January 30th, 2023.

    She is a non-smoker, occasional alcohol drinker without drug use history. She does not have previous medical or surgical history. She has no known allergies. There is no recent travel and no animal exposure. She lives in central Lebanon. Family history is significant for psoriasis, sarcoidosis, and breast cancer.

    Upon admission, physical exam was only significant for lower back, lower abdominal, and anterior and posterior thigh tenderness. Neurological exam was normal.

     

         Laboratory workup was unrevealing, provided in table 1. X-ray of the lumbosacral spine showed mild disc narrowing L5-S1. Enhanced brain and spine MRI showed a linear leptomeningeal enhancement of the mid-thoracic vertebra with intramedullary cord edema and patchy intramedullary and diffuse circumferential intradural extramedullary enhancement at the conus medullaris at L5-S1. This was suggestive of infection or inflammation. Lymphoma was ruled out by enhanced whole body Computed Tomography (CT). Blood flow cytometry excluded leukemia. Positron Emission Topography (PET) CT scan was negative for any nodal involvement or uptake. 

    Upon further history, she mentioned that she had contact with refugees residing in Lebanon. This exposure, with the Lumbar Puncture (LP) and imaging results, raised the possibility of tuberculosis (TB) and she was started empirically on isoniazid, rifampin, pyranzimide, ethambutol with dexamethasone. The symptoms completely resolved after the first dose of dexamethasone.

    Cerebrospinal fluid (CSF) examination (table 2) showed monocytic cells and basophilic monocytoid cells with a high nucleus-to-cytoplasm ratio, occasional plasma cells, and images of emperipolesis, a proliferation of histiocytic cells with phagocytosed lymphoid cells that are not fragmented, with a collection of lymphocytic cells around them (figure 1). CSF cytology showed reactive neutrophils and macrophages without malignant cells. CSF cultures showed no growth and negative brucella antibodies. Acid-fast stain, and PCR for Tuberculosis were also negative. Peripheral blood smear showed no morphological abnormalities and a complete rheumatological workup was normal.

    TB treatment was stopped as the emperipolesis and histiocytosis were suggestive of Rosai-Dorfman Disease. The slides then underwent S-100 staining, which was strongly positive, further confirming the diagnosis.

    The patient was kept on dexamethasone, and her condition improved. She was discharged on prednisone 80 mg once daily. After 2 weeks, another LP showed decreasing protein concentration and leukocyte count (table 2).  Follow up MRI showed findings consistent with ongoing epiduritis and resolving myelitis.

    The patient remained on prednisone, with no recurrence. Follow-up MRI showed improving T2 signal involving the central aspect of the spinal cord, decrease in intradural enhancement and loss of enhancement in the conus medullaris. On August 23, 2023, she was successfully tapered off steroids with no recurrence of symptoms. She is still symptom free today and has not had recurrence of symptoms. Follow-up has stopped and she was instructed to return to the clinic in case she has any new findings.

    Discussion

         This case illustrates an unusual presentation of RDD manifesting as cervical lymphadenopathy. The diagnosis could not be easily established due to the rarity of this disease and the unusual manifestations. Since first described in 1969, around 210 cases of RDD were reported, out of which 174 cases had CNS involvement.6 The pathogenesis of RDD is not well understood, believed to be a reactive non-neoplastic histiocytic disorder that lacks clonality. Several mutations are linked to RDD including ARAF, MAP2K1, NRAS, KRAS, and CSF1R as well as multiple gene alterations in intracellular trafficking, transcription, cell cycle regulation, Deoxyribonucleic acid (DNA) mismatch, and ubiquitin-proteasome pathway.7 However, some presentations are linked to infectious etiologies such as EBV, CMV, HIV, and Herpes virus-6.2 The prevalence of RDD is about 1:200 000, most common in young adult males of African descent.8

    RDD is classified as sporadic, cutaneous, and familial. The sporadic form classically presents as painless bilateral cervical lymphadenopathy mostly in the head and neck. It can also present as an extra-nodal disease in 40% of cases.8 The median age is 50 years and it seems to have a slight female predominance of 1.5:1.4 The gender and age distribution go with our patient demographics but she did not seem to have a family history of such a presentation.

    Skin involvement is seen in 10% of extra-nodal RDD cases, but isolated cutaneous manifestations are rare. Usually, this presents as skin-painless nodules, papules, or plaques affecting the head, neck, and upper trunk areas. These lesions can vary in size, shape, and color. The main diagnostic method is a histopathological picture of large histiocytes with abundant cytoplasm and emperipolesis showing phagocytosis of intact lymphocytic cells.9 Intrathoracic involvement is not common, only seen in 2% of patients with RDD. The symptoms can mimic other diseases presenting as cough or even respiratory failure, it can appear as lung nodules, intrathoracic lymphadenopathy, pleural effusions, or interstitial lung disease. Cardiac involvement is extremely rare, described in less than 0.2% of patients.8 Renal involvement is usually associated with poor prognosis.  Symptoms can vary from flank pan and hematuria to severe renal failure which makes the diagnosis much more complicated.1 Testicular involvement in men, bone, gastric and hematological manifestations of RDD have been described in the literature.10 However, our case had isolated CNS affection which made the diagnosis rather challenging. She had none of these described systemic findings. The lack of such systemic symptoms in our patient made the diagnosis more challenging.

    Involvement of the CNS is described in about 5 % of cases.6 Moreover, Only 25% of the lesions reported are spinal, where it is mostly a manifestation of systemic disease.6 In contrast to systemic RDD, isolated CNS manifestations lack constitutional symptoms and are usually unilateral. Symptoms may vary from headaches to seizures, motor and sensory abnormalities, and focal deficits.6 Our patient's symptoms included lower back pain, non-specific abdominal pain, and thigh pain, which was unusual as per the literature. In a similar case reported by Huang et al., the patient experienced sciatica-like symptoms caused by RDD of the sacral bone, which is a very rare presentation seen with our patient.

    Ophthalmic manifestations are described in 10% of CNS cases, where sinus and ophthalmic involvement is seen due to the close anatomical area.  This can lead to vision impairment, with nasal obstruction, epistaxis and facial deformity.1 Our patient did not have any ophthalmic symptoms.

    Goyal et al. reported 60 cases of RDD followed-up from 1994 to 2017. They found that only 8% had nodal disease and above 90% had extra-nodal manifestations. 52% had skin and subcutaneous masses, 21% had bone or muscle involvement and 4 cases (6.2%) had CNS frontal lesions. Interestingly, the median time from initial presentation to diagnosis was around 7 months, which highlights how challenging the diagnosis of RDD is. 4 This was one of the largest studies of RDD reported. While a lot of the mentioned presentations were not seen with our patient, the article highlights the long median periods to establish the diagnosis in the presence of some suggestive findings. In our case, and with the lack of the already rare disease manifestations, the diagnosis remained challenging to establish.

    In another case series, 3 middle-aged patients with multiple subcutaneous and intra-abdominal masses were found to have RDD after excisional biopsy.11 According to the authors, extra-nodal disease can mimic malignancy and other viral illnesses, and that in most cases immunohistochemistry (IHC) is the main tool for diagnosis, especially that it excludes other diseases.11 In our case, IHC and pathologic examination of the CSF is what helped most in establishing the diagnosis, which goes with what this case series concludes.

    According to Mar et al, computed tomography (CT), MRI, and Positron Emission Tomography (PET) are important tools to suspect RDD.12 However, the diagnosis can overlap with other conditions like lymphoma, infection, and granulomatous disease. There are a variety of appearances on radiology for different RDD involvements.12 For instance, cardiothoracic involvement can manifest as lymphadenopathy, tracheobronchial or lung nodules, pleural effusions, or cardiac masses.12 Abdominal involvement can affect any organ system, often presenting as masses or lymphadenopathy. Pelvic involvement can involve pelvic lymph nodes, and reproductive systems, and musculoskeletal involvement can manifest as subcutaneous masses or lytic bone lesions. Nevertheless, definitive diagnosis requires a multidisciplinary approach. 12

    Rosai Dorfman Disease involving the CNS has a wide array of radiological findings. While intracranial lesions mostly consist of extra-axial masses mimicking a meningioma or diffuse pachymeningitis, spinal or epidural lesions are most common in the cervical and thoracic areas which are usually enhancing on MRI T2.8  A case report in 2019 describes significant edema on T1 and T2 and thickened meninges.13 Another one describes a large enhancing soft-tissue mass at L5-S1, with histopathological findings of Rosai-Dorfman disease and complete resolution on steroids.14 Furthermore, a case series of 11 patients with isolated CNS RDD reported the possible involvement of the spinal canal, skull dura and different cerebral lobes.15 Isolated thoracic spine findings were, to our knowledge, never described before, which presented a radiological picture that is not very familiar, which posed further difficulty in reaching a diagnosis with our patient.

    CSF and histopathological studies usually offer the definitive diagnosis. They show elevated proteins, low glucose, leukocytosis with lymphocytic predominance and emperipolesis as seen in our case. The histiocytes involved are usually positive for S100+, CD68+, and CD1a(CD: Cluster of Differentiation).8 In our case they were positive for S100. On cytology, we hypercellularity with predominance of lymphocytes and histiocytes with emperipolesis is what is usually seen.16These findings were seen on CSF examination and IHC with our patient, and they were what confirmed our diagnosis.

    Although there are no clear guidelines for the treatment of Rosai Dorfman disease, a consensus management was established by Abla et. Al. Although observation might be suitable for patients with uncomplicated lymphadenopathy, cutaneous RDD, or post-operatively for unifocal disease, treatment with prednisone (40-70 mg per day) or dexamethasone (8-20 mg per day) is recommended.8 Surgical resection can also be an option for unifocal extra-nodal disease, or symptomatic cranial, spinal, sinus or airway disease. Neurosurgical evaluation in our patient deemed the lesions unresectable for no discrete masses could be found and due to the diffuse spread of enhancement involving different parts of the spinal cord and vertebrae. Sometimes, cladribine or methotrexate can be considered for in refractive diseases, however the exact duration of the therapy is unknown. Our patient was not offered any treatment other than steroids.  Clofarabine is currently under study for CNS involvement but the myelosuppressive effects and the high cost of this medication are of concern.8 In our case, the patient had an excellent response to prednisone and entered long-term remission, without any relapses even after steroids were tapered and stopped. She enjoys a healthy life with no residual symptoms.

    Other treatments are also available, such as cladribine, methotrexate, vincristine and mercaptopurine.8 However, such treatments have undesirable side effects such as immunosuppression, and the data regarding their effect on RDD is less conclusive. Up until this time, they are considered in cases refractory to corticosteroids or when corticosteroids are contraindicated.8 Some case reports also consider sirolimus, but its use in this context is very limited, described more in the pediatric population. Besides, sirolimus availability and price can be limitations to its usage.8

    With regards to our patient, the initial non-specific symptoms of lower back pain and systemic symptoms of fever and headaches led to multiple inconclusive investigations. Initial differential diagnosis included infectious and rheumatologic causes, including degenerative disc diseases and discitis and ankylosing spondylitis. Upon imaging, MRI findings suggested inflammatory or infectious origins of the pain, excluding solid malignancies and discitis but keeping inflammatory and infectious etiology. Moreover, conditions such as sarcoidosis or granulomatous disease could be excluded by MRI. among the differentials. CSF analysis with emperipolesis is what shifted the diagnosis to RDD, confirmed by S-100 staining, which is very sensitive but not specific for RDD. 12 Emperipolesis and S100 staining together is what establishes the diagnosis. This case is a very good example of the diagnostic journey it takes to detect RDD, which involves a multi-disciplinary approach of neurology, rheumatology, infectious diseases, radiology and pathology.

    Conclusion

         RDD is a benign disease of histiocytes manifesting as a resistant refractory generalized lymphadenopathy sometimes with systemic manifestations that can be quite variant. Due to the wide array of reported sites of involvement, the clinical presentation as well as laboratory and radiologic findings can be diverse, posing a diagnostic challenge. While there are many cases describing RDD with CNS involvement, none has mentioned thoracic meningeal inflammation. To date, only CSF histopathological studies and microscopic evaluation aid in a definitive diagnosis. This is why reporting all new presentations of this disease is important, as they can aid in establishing an identifiable plethora of findings that help in establishing a timely diagnosis and a more cost-effective approach to this already rare disease.

    References

    1.      McAlister WH, Herman T, Dehner LP. Sinus histiocytosis with massive lymphadenopathy (Rosai-Dorfman disease). Pediatr Radiol. 1990 Jul 1;20(6):425–32. https://doi.org/10.1007/BF02075199

    2.      Sendrasoa FA, Ranaivo IM, Raharolahy O, Andrianarison M, Razanakoto NH, Ramarozatovo LS, et al. Rosai-Dorfman disease involving multiple organs: An unusual case with poor prognosis. Case Rep Med. 2016 Oct 31;2016:3920516. https://doi.org/10.1155/2016/3920516

    3.      Mohammadi O, Zylberglait Lisigurski M, Mehra D, Pishdad R, Gulec S. Rosai-Dorfman Disease and Unusual Local Invasive Presentation. Cureus. 2020 Mar 19;12(3):e7328. https://doi.org/10.7759/cureus.7328

    4.      Goyal G, Ravindran A, Young JR, Shah MV, Bennani NN, Patnaik MM, et al. Clinicopathological features, treatment approaches, and outcomes in Rosai-Dorfman disease. Haematologica. 2020 Jan 31;105(2):348–57. https://doi.org/10.3324/haematol.2019.219626

    5.      Adeleye AO, Amir G, Fraifeld S, Shoshan Y, Umansky F, Spektor S. Diagnosis and management of Rosai–Dorfman disease involving the central nervous system. Neurol Res. 2010 Jul 1;32(6):572–8. https://doi.org/10.1179/016164109X12608733393836

    6.      Sandoval-Sus JD, Sandoval-Leon AC, Chapman JR, Velazquez-Vega J, Borja MJ, Rosenberg S, et al. Rosai-Dorfman Disease of the Central Nervous System: Report of 6 Cases and Review of the Literature. Medicine. 2014;93(3). https://doi.org/10.1097/MD.0000000000000030

    7.      Bruce-Brand C, Schneider JW, Schubert P. Rosai-Dorfman disease: an overview. J Clin Pathol. 2020 Nov 1;73(11):697. https://doi.org/10.1136/jclinpath-2020-206733

    8.      Abla O, Jacobsen E, Picarsic J, Krenova Z, Jaffe R, Emile JF, et al. Consensus recommendations for the diagnosis and clinical management of Rosai-Dorfman-Destombes disease. Blood. 2018 Jun 28;131(26):2877–90. https://doi.org/10.1182/blood-2018-03-839753

    9.      Gawdzik A, Ziarkiewicz-Wróblewska B, Chlebicka I, Jankowska-Konsur A, Szepietowski JC, Maj J. Cutaneous Rosai-Dorfman Disease: A Treatment Challenge. Dermatol Ther (Heidelb). 2021 Aug 1;11(4):1443–8. https://doi.org/10.1007/s13555-021-00557-1

    10.  Fernandopulle SM, Hwang JSG, Kuick CH, Lui J, Tan PH, Siow WY, et al. Rosai-Dorfman disease of the testis: an unusual entity that mimics testicular malignancy. J Clin Pathol. 2006 Mar 1;59(3):325–327. https://doi.org/10.1136/jcp.2005.028423

    11.  Magableh HM, Jaber HD, Magableh AM, Alrabiah MA, Dahhan AF, Azzam AZ, et al. Rosai-Dorfman Disease: Case Series and Literature Review. Cureus. 2023 Feb 19;15(2):e35193. https://doi.org/10.7759/cureus.35193

    12.  Mar WA, Yu JH, Knuttinen MG, Horowitz JM, David O, Wilbur A, et al. Rosai-Dorfman Disease: Manifestations Outside of the Head and Neck. Am J Roentgenol. 2017 Apr 1;208(4):721–32. https://doi.org/10.2214/AJR.15.15504

    13.  Wen JH, Wang C, Jin YY, Xu D, Jiang B, He XJ, et al. Radiological and clinical findings of isolated meningeal Rosai–Dorfman disease of the central nervous system. Medicine. 2019;98(19):e15365. https://doi.org/10.1097/MD.0000000000015365

    14.  Bahauddin R, Al-Taie A, Al-Khafaji F, Barah A. Rosai-Dorfman Disease of the Spine: A Case Report of a Rare Disease and Review of the Literature. Cureus. 2022 Jun 25;14(6):e26317. https://doi.org/10.7759/cureus.26317

    15.  Andriko JAW, Morrison A, Colegial CH, Davis BJ, Jones RV. Rosai-Dorfman Disease Isolated to the Central Nervous System: A Report of 11 Cases. Mod Pathol. 2001 Mar 1;14(3):172–8. https://doi.org/10.1038/modpathol.3880278

    16.  Rajyalakshmi R, Akhtar M, Swathi Y, Chakravarthi R, Reddy JB, Maddirala BP. Cytological Diagnosis of Rosai–Dorfman Disease: A Study of Twelve Cases with Emphasis on Diagnostic Challenges. J Cytol. 2020;37(1). https://doi.org/10.4103/JOC.JOC_4_19

  • Post-COVID-19 Kawasaki-Like Vasculitis and Endocarditis: A Case Report

    Background: Coronavirus Disease of 2019 (COVID-19) can cause mild to severe infection, but with a combination of inflammatory complications that target virtually anywhere in the body. Cardiac complications remain of utmost importance as they have the highest association with mortality.

    Case presentation: A 32-year-old male presents with a fever of unknown origin for a period of 3 months post SARS-CoV-2 infection. He was found to have endocarditis and underwent an aortic valve replacement that was complicated by an aortic aneurysm, needing another surgery. The fever and aneurysm remitted after a new COVID-19 infection and the patient underwent a Bentall procedure with reimplantation of the coronary arteries. 

    Discussion: Cardiac complications of COVID-19 can range from small to large arteritis, valvopathy and aortic aneurysms, which can have significant morbidity and mortality, leading to the need of surgery and prolonged treatment. The scarcity of such cases makes reporting imperative so that clearer guidelines of management can be established.

    Conclusion: Cardiovascular complications of COVID-19 remain the scariest and the least reported, which necessitates the presence of more evidence of their management, which can be lifesaving.

    Introduction

    COVID-19 usually presents as upper respiratory infections and pneumonias triggering an inflammatory cascade that can be prolonged, in what is known as long COVID. This can manifest as autoimmune diseases, neurologic illness, cardiovascular disorders and others.[1, 2] The surplus of complications this viral infection can cause is unique, but its vascular complications are the most mortal, causing acute endothelial dysfunction driven by inflammation, leading to tissue ischemia.[3] Nevertheless, very few data with weak evidence exist on managing such conditions.

    These complications can range from small to medium vasculitis all the way to aortitis, aortic valvopathy and aortic aneurysms causing acute myocardial ischemia and severe congestive heart failure (CHF).[4] They can be self-limiting over a few weeks, or life-threatening, requiring emergent intervention that can range from anticoagulation and control of the inflammatory storm, to intra-vascular or surgical intervention.[5]

    In this case report, we present a 32-yer-old male who had a Kawasaki-like vasculitis after his COVID-19 infection, that was complicated with aortitis, aortic valve inflammation and thoracic aortic aneurysm that required three surgeries and a long treatment duration. To our knowledge, such a case has never been described, which proves the importance of reporting.

     

    Case Presentation

     

    First admission:

    On 24/03/22, Mr. FK, a 32-year-old patient presented to our clinic for fever without focus. 3 months ago, he had COVID-19 infection, after which the fever never resolved, with fatigue, weight loss, and lower extremity weakness. He is previously healthy with no significant medical, surgical or travel history. He has a no significant family history of chronic disease.

    He was admitted for workup at another institution 1 month prior where he took 2 courses of Augmentin and Levofloxacin without improvement. The workup included negative blood cultures, and negative tests forHIV, syphilis, hepatitis B and C, brucella and tuberculosis, with negative anti-nuclear antibodies (ANA). FK has received the Pfizer mRNA COVID vaccine twice, 2 weeks apart a few months back with no complications.

    Upon initial physical examination, he was febrile (38°C) and tachycardic (110 BPM). Cardiac auscultation showed a holosystolic murmur in the aortic area. Lower extremities showed mild atrophy. 

    The patient trans-thoracic echocardiography (TTE) showed a vegetation of the aortic valve with severe regurgitation (Figure 1), hence he was admitted for infectious endocarditis. Blood cultures were taken, and he was started on penicillin and gentamycin. Blood cultures and brucella, salmonella and coxiella serologies were negative. A complete autoimmune workup was also negative except for beta-2 glycoprotein.

    On 27/3/22, he complained of dyspnea and a chest x-ray showed mild congestion, managed by furosemide and oxygen. Shortly after, he had sudden dyspnea with hypotension, desaturation and rapidly progressing cardiogenic shock. Repeat TTE showed acute decompensated right heart failure and pulmonary congestion. He underwent emergency bioprosthetic aortic valve replacement.

    Intraoperatively, multiple coronary artery aneurysms were seen. The aortic valve was almost non-existent, extensively eroded without vegetations. It was replaced by a bovine valve. Coronary artery bypass grafting (CABG) could not be performed due to high mortality risk.

    Valve cultures were negative, and pathology showed neutrophilic infiltration. The diagnosis of non-infectious endocarditis and Kawasaki-like vasculitis was made based on the gross vascular findings and pathologic evaluation, and he was discharged on Prednisone1 mg/kg/day taper and followed up in an out-patient setting.

     

    Second admission:

    Three months later, the patient presented to the ED for severe chest pain. Four days prior, he was having flu-like symptoms for which COVID-19 PCR tested positive.

    He was found to have an anterior ST elevation myocardial infarction. A TTE showed septo-apical dyskinesia with severe dilatation of the aortic root. He received a loading dose of heparin and coronary angiography was performed (Figure 1). It showed a LAD stenosis and total occlusion of the diagonal artery. CT-Angio scan of the chest (Figure 2) showed an ascending aortic aneurysm of 7.3 cm diameter. TTE showed a severe dilatation of the sinus of Valsalva.

    Cardiothoracic surgery were consulted, and an aortic root replacement was recommended. He was started on methylprednisolone pulse therapy followed by dexamethasone 6 mg daily. He also received 6mg/kg IV tocilizumab (600 mg) and IV immunoglobulins (IVIG) 3g/kg once to halt the inflammatory reaction. For fever in immunosuppression, he was covered with remdesivir, meropenem and vancomycin.

    On 28/7/22, the patient underwent aortic aneurism repair. CABG was not performed because of high risk of rupture. Cultures of the ascending aorta were negative again, and pathology showed neutrophilic infiltration.

    The patient was discharged on prednisone, mycophenolate mofetil and a prophylactic dose of trimethoprim/sulfamethoxazole.

     

    Third admission:

    The patient re-presented on 16/11/22 for chest discomfort with high grade fever, cough, and hemoptysis. He was found to be hypotensive to 80/60 mmHg and with elevated inflammatory markers. Due to his immunosuppressed status, hypotension and fever, he received meropenem, vancomycin and voriconazole to cover for a possible sepsis. Besides, due to his known history of on-going vasculitis affecting the coronary vessels and aortic root, he was started on tocilizumab and IVIG. His diagnosis was a demand myocardial ischemia with cardiogenic shock, the reasons behind this to be investigated, with highest suspicion of recurrence of the vasculitis.

    On 19/11/22, his condition deteriorated again and TTE that showed severe mitral regurgitation and EF of 30%, with an aortic root aneurysm and prosthetic valve dehiscence with regurgitation. He underwent an emergent Bentall procedure and reimplantation of coronary arteries, replacing the bioprosthetic valve (Figure 3) with a metallic one. He recovered well and was placed on Prednisone taper again with daily baricitinib and clinical follow-up. Afterwards he was doing well and returned to supervised physical activity.

    On September 15th, 2023, the patient passed away of sudden onset ventricular fibrillation while at home.

     

     

    Discussion

    The case provides a rare depiction of a serious complication of COVID-19 infection, systemic vasculitis. At the time of the diagnosis, no clear management guidelines existed, therefore we extrapolated from what was known previously. COVID-19 infection overdrives the immune system, triggering a wide array of inflammation such as vasculitis.[6] It can trigger B and T lymphocytes, leading to cytokine release and vascular injury.[7]

    Kawasaki vasculitis affects medium-sized arteries in children and is linked to viral infections. Since the emergence of COVID-19, Multisystem Inflammatory Syndrome in Children (MISC) emerged, which had a similar presentation.[8] MISC can present with cardiac manifestations, muco-cutaneous involvement and refractory fever.[9]

    Many systemic reviews and case series then started studying vasculitis post COVID-19 infection, but in almost all, Kawasaki-like disease was only described in children. These findings, caused by COVID-19  usually present as a remitting fever with rashes, lymphadenopathy and mucosal lesions, diagnosed by biopsy. The prognosis in children is usually good with steroids and/or IVIG [10] Such a condition was never described in adults before. A systemic review published in France in 2020 state that it can be seen in African-French descent and is associated with self-limiting multi-system inflammation.[11] In January 2022, Elouardi et al described a very similar presentation in a 28 year-old female who succumbed due to severe myocardial damage due to inflammation and coronary artery disease and aneurysms due to a Kawasaki-like vasculitis after infection with COVID-19.[12]

    The involvement of large arteries has been rarely described. By February 2022, only 4 case reports were published about it.[13] Aortitis can also be caused in the early viremic phase, where the viruses attack the endothelium, causing vasa vasorum intramural thrombosis.[14] This can progress to myocarditis or to CHF, such as in our patient.[4] No treatment guidelines for this condition exist. Data is mostly provided through case reports. A course of steroid taper has been suggested, in combination with other immunomodulatory agents, JAK inhibitors and IVIG.[6]

    It is worth mentioning that there are reported cases of prolonged fever after COVID-19 vaccination itself, which presents as a chronic dysautonomia and fatigue. [16]. There are also cases of multi-system inflammation following the vaccine, which are a very rare entity. [17] However, such an augmented inflammatory response is mostly reported post-COVID infection rather than vaccination, and in the case of our patient, the symptoms started after an infection. In addition, the exacerbation of his symptoms in the second admission were directly after a re-infection. He did not have any complications after he took his vaccines.

    Our patient presentation remains a unique one. He had a plethora of complications that were never described together. His presentation is a MISC-like reaction in an adult male, refractory to treatment. He had relapsed arteritis and valvopathy with every new infection. Reporting this case can shed light on the complications and treatment options for post-viral vasculitis considering scarce data with the subject.

     

    Conclusion

    COVID-19 has a variety of complications which can affect almost any organ in the body. Cardiovascular complications remain the rarest, yet the deadliest. Our patient had coronary vasculitis, aortitis and inflammatory aortic valve infiltration which were recurrent with every new COVID-19 infection he had, leading to 3 distinct open-heart surgeries. This is why reporting every case with such complications is crucial, to raise the possibility of clustering them into larger studies, that would provide more robust evidence-based data on managing such conditions.

     

    References

    1.      Thirkell P, Griffiths M, Waller MD. Management of Coronavirus Disease 2019 (COVID-19) Pneumonia. In: Janes SM, editor. Encyclopedia of Respiratory Medicine (Second Edition) [Internet]. Oxford: Academic Press; 2022. p. 342–9. https://doi.org/10.1016/B978-0-08-102723-3.00187-6.

    2.      Liu C, Wu C, Zheng X, Zeng F, Liu J, Wang P, et al. Clinical features and multidisciplinary treatment outcome of COVID-19 pneumonia: A report of three cases. J Formos Med Assoc. 2020 Nov 1;119(11):1702–9. https://doi.org/10.1016/j.jfma.2020.04.008.

    3.      Rabaan AA, Al-Ahmed SH, Muhammad J, Khan A, Sule AA, Tirupathi R, et al. Role of Inflammatory Cytokines in COVID-19 Patients: A Review on Molecular Mechanisms, Immune Functions, Immunopathology and Immunomodulatory Drugs to Counter Cytokine Storm. Vaccines (Basel). 2021;9(5):436. https://doi.org/10.3390/vaccines9050436.

    4.      Rajan R, Jayakumar RB, Al-Jarallah M, Dashti R, Kobablava ZD, Brady PA. Escardio. ESC; 2021 [cited 2023 Jul 27]. COVID-19 and the heart. Available from: https://www.escardio.org/Journals/E-Journal-of-Cardiology-Practice/Volume-21/covid-19-and-the-heart

    5.      Shimada T, Itagaki H, Shirota Y, Endo T. Spontaneous Improvement of Aortitis Associated with Severe COVID-19 Infection—A Case Report. Medicina [Internet]. 2023;59(5). https://doi.org/10.3390/medicina59050816.

    6.      Zebardast A, Hasanzadeh A, Ebrahimian Shiadeh SA, Tourani M, Yahyapour Y. COVID-19: A trigger of autoimmune diseases. Cell Biol Int. 2023 May 1;47(5):848–58. https://doi.org/10.1002/cbin.11997.

    7.      Christodoulou M, Iatridi F, Chalkidis G, Lioulios G, Nikolaidou C, Badis K, et al. ANCA-Associated Vasculitis May Result as a Complication to Both SARS-CoV-2 Infection and Vaccination. Life. 2022;12(7):1072. https://doi.org/10.3390/life12071072.

    8.      Woo HO. Recent research trends in Kawasaki disease-related infection. Clin Exp Pediatr. 2022 Jul 22;65(11):538–9. https://doi.org/10.3345/cep.2022.00696.

    9.      Folga BA, Karpenko CJ, Grygiel-Górniak B. SARS-CoV-2 infection in the context of Kawasaki disease and multisystem inflammatory syndrome in children. Med Microbiol Immunol. 2023 Feb 1;212(1):3–12. https://doi.org/10.1007/s00430-022-00756-3.

    10.  Wong K, Farooq Alam Shah MU, Khurshid M, Ullah I, Tahir MJ, Yousaf Z. COVID-19 associated vasculitis: A systematic review of case reports and case series. Ann Med Surg (Lond). 2022;74:103249. https://doi.org/10.1016/j.amsu.2022.103249.

    11.  Toubiana J, Poirault C, Corsia A, Bajolle F, Fourgeaud J, Angoulvant F, et al. Kawasaki-like multisystem inflammatory syndrome in children during the covid-19 pandemic in Paris, France: prospective observational study. BMJ. 2020 Jun 3;369:m2094. https://doi.org/10.1136/bmj.m2094.

    12.  Elouardi Y, Rebahi H, Zarrouki Y, Ziadi A, Younous S, Samkaoui MA. COVID-19 associated Kawasaki-like multisystem inflammatory syndrome in an adult. Rev Esp Anestesiol Reanim (Engl Ed). 2022 Jan 1;69(1):43–7. https://doi.org/10.1016/j.redare.2020.11.009.

    13.  Abu Hassan F, Abu Alhalawa M, Majdoubeh Y, Nepal A, Sufan SS. COVID-19 Aortitis: A Review of Published Cases. Cureus. 2022 Feb 15;14(2):e22226. https://doi.org/10.7759/cureus.22226.

    14.  Manenti A, Farinetti A, Manco G, Mattioli A. Vasculitis and aortitis: COVID-19 challenging complications. J Vasc Surg. 2021 Jan 1;73(1):347–8. https://doi.org/10.1016/j.jvs.2020.08.029.

    15.  Semmler A, Mundorf AK, Kuechler AS, Schulze-Bosse K, Heidecke H, Schulze-Forster K, et al. Chronic Fatigue and Dysautonomia following COVID-19 Vaccination Is Distinguished from Normal Vaccination Response by Altered Blood Markers. Vaccines. 2023;11(11):1642. https://doi.org/10.3390/vaccines11111642.

    16.  Lee SJ, Park DW, Sohn JW, Yoon HJ, Kim SH. COVID-19 Vaccine–Induced Multisystem Inflammatory Syndrome With Polyserositis Detected by FDG PET/CT. Clin Nucl Med. 2022;47(5). https://doi.org/10.1097/RLU.0000000000004094.

  • Hippocampus infarct following a posterior cerebral artery occlusion

    A 64-year-old gentleman, presented for subacute onset of short-term memory problem, preceded by headache, right arm numbness and visual disturbances. On neurological exam, he had anterograde amnesia, decreased pinprick sensation on his right arm and right homonymous hemianopsia.

    Brain Magnetic Resonance imaging (MRI) and Magnetic Resonance Angiography (MRA) showed subacute ischemic lesions in the left occipital lobe, hippocampus and thalamus, caused by a distal occlusion of the left Posterior Cerebral Artery (PCA). A distal occlusion of the PCA led to multiple infarcts in different anatomical structures, causing a constellation of variant neurological signs.

    Our case demonstrates an anterior hippocampus predominantly irrigated by the PCA.

    Background

    The Hippocampus is mainly supplied by the PCA and to a lesser degree from the anterior choroidal artery.[2] Visual analysis with Diffusion-Weighted MRI (DWI) have identified 4 patterns of lesions affecting the hippocampus: complete, lateral, dorsal and circumscribed lesions in the lateral hippocampus.[3] The PCA strokes are associated with headaches, visual symptoms, sensory-motor symptoms and neuropsychological symptoms[5] headaches being the initial and most frequently seen manifestation of infarcts in the posterior rather than the anterior circulation.[6] Other associated symptoms of posterior strokes include dizziness, confusion, nausea and vomiting.[5] When the involved region is limited to the hippocampal area, amnesia and memory processing are mainly affected.[3] This amnesia is usually temporarily, not lasting more than 24 hours, and it is called Transient Global Amnesia (TGA).[7]

    The prevalence of an isolated acute stroke of the hippocampus is 0.03% in a case series of 6800 patients.[8] Ischemic lesions are well identified on DWI due to strong contrast between affected and unaffected tissues, which offers more details in stroke syndromes.[4] The isolated involvement of the hippocampal structures enlighten its important role for memory processing.[9] Transient Global Amnesia TGA is characterized by a transient anterograde or retrograde amnesia without decrease level of consciousness or any other cognitive disturbances.[7] The patient usually shows a stereotyped behavior like repetitive questioning, due to short term memory impairment.[10] Transient Global Amnesia TGA rarely present post an ischemic stroke, and it is reported with lesions on the unilateral or bilateral hippocampus.[10,11] 

    In the case discussed below, we present a patient with multiple comorbidities, presenting to the emergency with solely confusion and retrograde amnesia, that later on turned to be caused by stroke in the posterior cerebral artery; a very rare case presentation that needs to be addressed so emergency physicians and other care givers don’t miss out this diagnosis.

     

    Case Presentation

         A 64-year-old male patient presented to the Emergency Department (ED) for altered general status mainly manifested by confusion, distress, and a high blood pressure. The patient is known to have hypertension, diabetes, dyslipidemia, with reported compliance to medical treatment, along with coronary artery disease, status post stent insertion in 2011.

    In the Emergency Room, patient had severe headache, and a tingling sensation in his right arm involving the fingers; he denied any chest pain, dyspnea, orthopnea, fever or chills; he also denied any blurry vision or dipoplia, loss of consciousness, vertigo or dizziness. However, the patient’ family reported difficulty in arousing the patient from sleep during the morning of that same day with a retrograde amnesia of 30 minutes duration.

    Vital signs were as follow: heart rate: 78 BPM, blood pressure: of 190/100 mmHg, temperature: 36.7oC and oxygen saturation: 98% on room air. On review of system patient had no recent complaints or any signs of infection.

    On physical exam, the patient was oriented to people and place but not to time, and he was not able to recall the events of the day prior to his presentation. Systolic ejection murmur radiating to the right carotids was heard on heart auscultation.

    Neurologic exam showed intact Cranial Nerves (CN) III to XII, normal motricity in all limbs, positive pupillary light reflex, +2 DTR deep tendon reflexes and an equivocal Babinski on the right. There was decreased pinprick sensation on his right arm. On eye exam, the patient had a right homonymous hemianopsia.

    The rest of the bed side exam was normal.

    Stroke protocol was initiated, and brain MRI and MRA showed multiple areas of cortical ischemic lesions in the left occipital lobe, left hippocampus and left thalamus, which corresponds to subacute ischemic lesions in the territory of the left PCA (Figure 1).

    The patient was immediately started on dual antiplatelet and anticoagulation and admitted to regular floor. During his stay, his home medications were continued and he was being followed by neurologic exam daily until discharge. Marked improvement was noticed at 1 month follow up in outpatient clinic with return to baseline in cognition.

     Discussion

         A 64-year-old gentleman, with uncontrolled hypertension and diabetes mellitus, presented for subacute onset of short-term memory problem, preceded by right arm numbness and visual disturbances. On neurological exam, he had anterograde amnesia reported by family that lasted less than 1 hour, decreased pinprick sensation on his right arm and right homonymous hemianopsia.

         Two thirds of the hippocampus are vascularized by the P2 segment of the PCA and the rostral third is generally irrigated by segments of the anterior choroidal arteries [3]. A stroke to the PCA will therefore affect cognitive and memory function; the majority will show verbal long term memory deficit [12], and the duration of amnesia is usually at least 10 hours to few months [13]. However, the patient in this case discussion, had short term memory impairment, no verbal deficit, and the duration was very short. Also, in the literature, the TGA related to hippocampal infarcts was also associated with infarcts in other vasculature territories such as middle cerebral artery and internal carotid artery [14], and hence no direct causation between TGA and PCA strokes solely can be made. TGA as a symptom, can be caused by several triggers such as sexual intercourse, anxiety, head trauma, emotional distress…but no vascular triggers identified in the literature, symptoms last for an average of 6 hours [15].
         In this case, brain MRI and MRA, showed subacute ischemic lesions in the left occipital lobe, hippocampus and thalamus (Figure1), caused by a distal occlusion of the left PCA (Figure 2). A distal occlusion of the PCA led to multiple infarcts in different anatomical structures, causing a constellation of variant neurological signs. It is highly important to recognize, diagnose, and rapidly intervene in similar cases, as data reported long term hippocampal atrophy and long term cognitive and memory impairment when injuries to hippocampus blood supply are left untreated [16].

         Our case demonstrates an anterior hippocampus predominantly irrigated by the PCA and it highlights that a damage to the hippocampus can impair memory processes, and due to its vascularization by the PCA, the hippocampus is involved in large territorial strokes from adjacent structures and when affected, clinical symptoms and signs such as amnesia should draw urgent attention.

     

    Conclusion

         Symptoms like visual field defects, confusion, weakness and general status alteration are always associated with stroke to PCA. Due to false negative and radiological delay on early CT scans, brain MRI/MRA done in emergency is essential to ensure a rapid diagnosis and identification of the ischemic area. When there is an isolated hippocampal stroke, TGA is the most apparent symptom of presentation. Usually, the amnesia is transient and resolve within 24 hours after medical therapy.

    Declarations

    Authorship statement

    All authors contributed equally and validated the final version of record.

    Conflicts Of Interest

    The Author(s) declare(s) that there is no conflict of interest.

    Funding statement

    This research received no specific grant from any funding agency in the public, commercial, or not-for-profit sectors.

    Registration

    No registration applicable.

    Data availability statement

    The data that support the findings of this study are available from the corresponding author upon reasonable request.

    Ethical approval

    A written and verbal consent was taken from the patient.


    References

    1.      Stephens RB, Stilwell DL. Arteries and Veins of the Human Brain. Thomas; 1969. (Thomas books).

    2.      Szabo K, Förster A, Jäger T, Kern R, Griebe M, Hennerici MG, et al. Hippocampal Lesion Patterns in Acute Posterior Cerebral Artery Stroke. Stroke. 2009 Jun 1;40(6):2042–5. https://doi.org/10.1161/STROKEAHA.108.536144.

    3.      Gass A, Ay H, Szabo K, Koroshetz WJ. Diffusion-weighted MRI for the “small stuff”: the details of acute cerebral ischaemia. Lancet Neurol. 2004;3(1):39–45. https://doi.org/10.1016/s1474-4422(03)006215.

    4.      Brandt T, Steinke W, Thie A, Pessin MS, Caplan LR. Posterior cerebral artery territory infarcts: clinical features, infarct topography, causes and outcome. Multicenter results and a review of the literature. Cerebrovasc Dis. 2000;10(3):170–182. https://doi.org/10.1159/000016053.

    5.      Koudstaal PJ, van Gijn J, Kappelle LJ. Headache in transient or permanent cerebral ischemia. Dutch TIA Study Group. Stroke. 1991 Jun 1;22(6):754–9. https://doi.org/10.1161/01.STR.22.6.754.

    6.      Arena JE, Rabinstein AA. Transient global amnesia. Mayo Clin Proc. 2015;90(2):264–272. https://doi.org/10.1016/j.mayocp.2014.12.001.

    7.      Kumral E, Deveci EE, Erdoğan C, Enüstün C. Isolated hippocampal infarcts: Vascular and neuropsychological findings. J Neurol Sci. 2015;356(12):83–89. https://doi.org/10.1016/j.jns.2015.06.01.

    8.      Naldi F, Baiardi S, Guarino M, Spinardi L, Cirignotta F, Stracciari A. Posterior hippocampal stroke presenting with transient global amnesia. Neurocase. 2017 Jan 2;23(1):22–5. https://doi.org/10.1080/13554794.2016.1270329.

    9.      Bhai S, Biffi A, Bakhadirov K, Prasad S. Complete Anterograde Amnesia From Simultaneous Bilateral Hippocampal Infarction. The Neurohospitalist. 2014 Jul 1;4(3):165–6. https://doi.org/10.1177/1941874414524795.

    10. Cipolotti L, Bird CM. Amnesia and the hippocampus. Current Opinion in Neurology. 2006;19(6):593–8. https://doi.org/10.1097/01.wco.0000247608.42320.f9.

    11. Sparaco M, Ciolli L, Zini A. Posterior circulation ischaemic stroke—a review part I: anatomy, aetiology and clinical presentations. Neurol Sci. 2019 Oct 1;40(10):1995–2006. https://doi.org/10.1007/s10072-019-03977-2.

    12. Arboix A, Arbe G, García-Eroles L, Oliveres M, Parra O, Massons J. Infarctions in the vascular territory of the posterior cerebral artery: clinical features in 232 patients. BMC Res Notes. 2011 Sep 7;4(1):329. https://doi.org/10.1186/1756-0500-4-329.

     

    13. Munk AH, Starup EB, Lambon Ralph MA, Leff AP, Starrfelt R, Robotham RJ. Colour perception deficits after posterior stroke: Not so rare after all? Cortex. 2023 Feb 1;159:118–30. https://doi.org/10.1016/j.cortex.2022.12.001.

    14. Hoyer C, Szabo K. Pitfalls in the Diagnosis of Posterior Circulation Stroke in the Emergency Setting. Front Neurol. 2021;12:682827. https://doi.org/10.3389/fneur.2021.682827.

    15. Salerno A, Strambo D, Nannoni S, Dunet V, Michel P. Patterns of ischemic posterior circulation strokes: A clinical, anatomical, and radiological review. Int J Stroke. 2022 Aug 1;17(7):714–22. https://doi.org/10.1177/17474930211046758.

    16. Caplan LR. UpToDate. 2023. Patient education: Ischemic stroke treatment (Beyond the Basics). Available from: https://www.uptodate.com/contents/ischemic-stroke-treatment-beyond-the-basics#H7298680

    17. Coutts SB, Ankolekar S, Appireddy R, Arenillas JF, Assis Z, Bailey P, et al. Tenecteplase versus standard of care for minor ischaemic stroke with proven occlusion (TEMPO-2): a randomised, open label, phase 3 superiority trial. Lancet. 2024 Jun 15;403(10444):2597–605. https://doi.org/10.1016/S0140-6736(24)00921-8.

    18. Nguyen TQ, Tran MH, Phung HN, Nguyen KV, Tran HTM, Walter S, et al. Endovascular treatment for acute ischemic stroke beyond the 24-h time window: Selection by target mismatch profile. Int J Stroke. 2024 Mar 1;19(3):305–13. https://doi.org/10.1177/17474930231208817.

     

  • Subarachnoid hemorrhage associated with ecstasy abuse in a young adult: a case report

    3,4-Methyl​enedioxy​methamphetamine (MDMA), is a synthetic amphetamine derivative. Its usage can be complicated by intracerebral or subarachnoid hemorrhage. Drug-related intracranial hemorrhage (ICH) is a relatively uncommon occurrence, often associated with an underlying vascular anomaly,

    We report the case of a 28-year-old male with a history of Ecstasy abuse prior to the onset of a sever holocranial headache. Cerebral computed tomography angiography revealed a right sided sub-arachnoid hemorrhage and blood within all four ventricles, as well as a right sided pontine hematoma and an arteriovenous malformation.

    As the drug epidemic continues to worsen, it is important to take a full drug history in patients presenting with a severe headache, and to not overlook ICH as a potential complication of recreational drug abuse.

    Key Messages

    - MDMA abuse complicated with an intracerebral accident is a well-recognized entity, but intracerebral hemorrhage remains relatively uncommon.

    - We report the first case of ecstasy abuse complicated with intracerebral hemorrhage, to our knowledge, occurring in a in a young adult in Tunisia. 

    - Patients presenting with severe headache and a history of drug abuse might be at risk of developing intracerebral hemorrhage.

    Introduction
         3,4-Methylenedioxymethamphetamine (MDMA), is a synthetic amphetamine derivative.(1)  It was first developed in 1912  and was popularized in the 1980s as a recreational street drug due to its strong empathogen as well as its stimulant and minor psychedelic properties.(1) It is usually taken orally in its tablet form (“Ecstasy”) or crystal form (“Molly” or “Mandy”).
         MDMA abuse is associated with multiple potentially life threatening complications.(1) Intracranial hemorrhage (ICH), including intracerebral and subarachnoid hemorrhage, is a well-known yet relatively uncommon complication. Subsequent brain imaging often reveals an underlying vascular anomaly.(2–7)
    After  a  literature  review  using  MeSH  and  keywords  (MDMA,  arteriovenous malformation,  intracerebral hemorrhage)    in    PubMed. We report the first case of ecstasy abuse complicated with intracerebral hemorrhage, to our knowledge, occurring in a in a young adult in Tunisia.  

    Case presentation
         28-year-old male with a past history of infrequent MDMA abuse spanning years presented to the emergency department for an acute onset of a severe headache. At first medical contact he was afebrile and his vital signs were normal. On further history and physical exam, four and half hours prior to his presentation, he had ingested a half of tablet of “Ecstasy”.  Following this ingestion, he presented with a headache, vomiting, dizziness and dysarthria.  There had been no history of hypertension or headache and the patient reported no recent head trauma or loss of consciousness. The patient denied any history of other substance abuse. During his stay at the ED his symptoms progressed and he became sleepy but conscious and orientated. Verbal and motor response, as well as eye opening, were all normal. Pupils were symmetrical and not dilated. Neurologic examination found a nuchal rigidity but Kernig and Brudzinski’s signs were both negative. There was no focal deficit and no signs of head trauma. Laboratory tests showed a white blood cell count of 16800 cells per microliter (normal range (NR) : 4.5 to 11.0 × 109/L), hyperlactatemia of 4.5 mmol/L (NR : 0.5-2.2) and hyperglycemia at glucose 11 mmol/L (NR : 4 - 7 mmol/L ). The other tests including hemostasis and electrolytes were within NR. Urine sample analysis revealed the presence of MDMA. Tests for other psychoactive substances such as cocaine, heroin and benzodiazepine as well as blood alcohol were all negative.  A computed tomography (CT)- head scan was obtained and showed a right-sided sulcal sub-arachnoid hemorrhage and blood within all four ventricles, as well as a right-sided pontine hematoma (figure 1 A and B). Within the latter, contrast-enhanced CT showed an arteriovenous malformation (figure 2).

         The patient was admitted to a neurosurgery unit. The AVM was classified as 4 according to the  Spetzler Martin scoring system, thus a conservative treatment was adopted and endovascular embolization of the AVM was scheduled but refused by the patient. He remained stable with resolution of his headaches and no neurological deterioration. He was discharged home on day 7 of admission with a spontaneous regression of the hematoma, thus a ventricular shunt was not performed, on follow up, the patient remained asymptomatic and no complications were reported.

    Discussion
         MDMA is a synthetic amphetamine derivative.(1) It is taken orally to induce pleasurable feelings such as loss of inhibition, euphoria and empathy and is commonly associated with raves, concerts and dance parties .(1) It has a myriad of adverse effects, such as tachycardia, arterial hypertension, nausea, bruxism, headache, blurred vision, insomnia, anxiety and agitation , as well as more serious complications such as rhabdomyolysis, hyperpyrexia, cardiac arrythmia, hepatic necrosis and disseminated intravascular coagulation.(1)  Among its complications, ICH is a well-recognized entity,  (2–7) but remains relatively uncommon. To the best of the authors’ knowledge, this represents the first reported case of ICH following ecstasy abuse in Tunisia. Previously reported cases of drug induced ICH have most often revealed an underlying vascular anomaly, mainly cerebral arteriovenous malformations and aneurysms. (2,3,5). However, it is possible that the latter may form either acutely in response to the drug itself, or progressively from repeated abuse(2,5). Furthermore, some case reports of ICH following MDMA abuse have shown no unusual findings in the angiogram,(6) suggesting that a preexisting vascular anomaly is neither necessary nor sufficient to induce it. A summary of cases reported in literature are is provided in table 1. To this date, MDMA’s exact role in precipitating an intracranial hemorrhage is still unclear. Two main mechanisms of action have been postulated in literature: Cerebral vasculitis and transient elevated blood pressure. (2,5)

         The proposition of cerebral vasculitis as a possible mechanism stems from MDMA's resemblance to amphetamine,(5) supported by substantial evidence linking the latter to at least some level of cerebral angiitis. Citron et al.(8) reported 14 cases of necrotizing angiitis in drug abusers, twelve of which had previously used methamphetamine intravenously, and one of which admitted to using it exclusively. Moreover, cerebral angiitis has been experimentally produced in rhesus monkeys following a two week intravenous administration of amphetamine, with the angiographic findings showing an arterial “beading” immediately after its administration.(9) 
         In the case of MDMA itself, some case reports of MDMA induced ICH reported arterial “beading”.(7) However, to the finest of the authors’ knowledge, there is no direct evidence linking it with cerebral vasculitis.
    Transient surge in blood pressure has also been proposed as a causal mechanism.(2) Hypertension is a well-documented adverse effect of MDMA and is related to its sympathomimetic effect.(1) It has been the traditional explanation for drug-induced ICH in the context of a preexisting cerebrovascular anomaly,  especially AVMs.(5) This is clearly likely to be the case in our patient.
    Another potential mechanism has been suggested through an experimental study on mice,(10) which showed that exposure to methamphetamine elicited an initial five-minute increase of cerebral blood flow, followed by a prolonged decrease over 30 minutes. This study also showed a sustained vasoconstriction of the pial arterioles following the exposure. However, more studies are needed in order to elucidate how much of a role this mechanism plays. 

         We recognize some limitations in our report. The CT angiography has a lower sensitivity in the detection rate of cerebrovascular anomalies than the gold standard, catheter angiography. With the latter not being performed, it is possible that some vascular anomalies, such as small aneurysms, and especially vasculitis, have evaded detection.

         Concerning management, according to Expert Consensus on the Management of Brain Arteriovenous Malformations in 2019, brain arteriovenous malformations (bAVMs) can be treated by one or a combination of the following treatment modalities, namely embolization, radiosurgery, or microsurgical resection. The committee made recommendations based on age, eloquence of adjacent cortex, feeders’ example superficial versus deep. These items were gathered to create the Spetzler Martin scoring system, which is an easy and successful scoring tool. In fact, Grade 4 and 5 arteriovenous malformations (AVMs), conservative management may be the best option, which is the case in our patient. (11)

    Conclusion
         We describe a case of ICH complicating MDMA abuse in a young adult.  Cerebral accidents are a well-recognized entity in these patients, but ICH remains relatively uncommon. Patients with MDMA abuse are at risk for intracerebral accidents including intracerebral hemorrhage. A full medical history including illicit drug abuse must be taken in patients presenting with the onset of a severe headache.

    Declarations
    Authorship statement
    All authors contributed equally and validated the final version of record.

    Conflicts Of Interest
    The Author(s) declare(s) that there is no conflict of interest.

    Funding statement
    This research received no specific grant from any funding agency in the public, commercial, or not-for-profit sectors.

    Registration
    No registration applicable.

    Data availability statement 
    The data that support the findings of this study are available from the corresponding author upon reasonable request.

    Ethical approval
    Ethical approval for this study was not required.

    References

    1.      Kalant H. The pharmacology and toxicology of “ecstasy” (MDMA) and related drugs. CMAJ. 2001 Oct 2;165(7):917–28.

    2.      Gledhill JA, Moore DF, Bell D, Henry JA. Subarachnoid haemorrhage associated with MDMA abuse. J Neurol Neurosurg Psychiatry. 1993 Sep 1;56(9):1036–7. https://doi.org/10.1136/jnnp.56.9.1036.

    3.      Auer J, Berent R, Weber T, Lassnig E, Eber B. Subarachnoid haemorrhage with “Ecstasy” abuse in a young adult. Neurol Sci. 2002 Oct 1;23(4):199–201. https://doi.org/10.1007/s100720200062.

    4.      Harries DP, De Silva R. ‘Ecstasy’ and Intracerebral Haemorrhage. Scott Med J. 1992 Oct 1;37(5):150–2. https://doi.org/10.1177/003693309203700508.

    5.      Mcevoy AW, Kitchen ND, Thomas DGT. Intracerebral haemorrhage and drug abuse in young adults. Br J Neurosurg. 2000 Jan 1;14(5):449–54. https://doi.org/10.1080/02688690050175247.

    6.      Kahn DE, Ferraro N, Benveniste RJ. 3 cases of primary intracranial hemorrhage associated with “Molly”, a purified form of 3,4-methylenedioxymethamphetamine (MDMA). J Neurol Sci. 2012 Dec 15;323(1):257–60. https://doi.org/10.1016/j.jns.2012.08.031.

    7.      Lee GYF, Gong GWK, Vrodos N, Brophy BP. ‘Ecstasy’-induced subarachnoid haemorrhage: an under-reported neurological complication? J Clin Neurosci. 2003 Nov 1;10(6):705–7. https://doi.org/10.1016/S0967-5868(03)00151-6.

    8.      Citron BP, Halpern M, McCarron M, Lundberg GD, McCormick R, Pincus IJ, et al. Necrotizing Angiitis Associated with Drug Abuse. N Engl J Med. 1970 Nov 5;283(19):1003–11. https://doi.org/10.1056/NEJM197011052831901.

    9.      Rumbaugh CL, Bergeron RT, Scanlan RL, Teal JS, Segall HD, Fang HCH, et al. Cerebral Vascular Changes Secondary to Amphetamine Abuse in the Experimental Animal. Radiology. 1971 Nov 1;101(2):345–51. https://doi.org/10.1148/101.2.345.

    10.  Polesskaya O, Silva J, Sanfilippo C, Desrosiers T, Sun A, Shen J, et al. Methamphetamine causes sustained depression in cerebral blood flow. Brain Res. 2011 Feb 10;1373:91–100. https://doi.org/10.1016/j.brainres.2010.12.017.

    11.  Samaniego EA, Dabus G, Meyers PM, Kan PT, Frösen J, Lanzino G, et al. Most Promising Approaches to Improve Brain AVM Management: ARISE I Consensus Recommendations. Stroke. 2024 May 1;55(5):1449–63. https://doi.org/10.1161/STROKEAHA.124.046725.

  • Association between septic shock prehospital hemodynamic parameters improvement and 28-day mortality: Septic shock prehospital hemodynamic parameters improvement and 28-day mortality

    Objective: The early hemodynamic optimization of septic shock patients is a cornerstone of care to hope for a better outcome, e.g., mortality decrease. However, in the prehospital setting, hemodynamic evaluation is restricted to micro and macrocirculatory clinical parameters.

    This study aims to assess the relationship between micro and macrocirculatory hemodynamic parameters improvement and 30-days mortality among septic shock patients being taken care of for by a mobile intensive care unit (mICU) in the prehospital setting.

    Methods: We performed a retrospective multicenter study, from January 2015 to November 2019 including septic shock patients requiring pre-hospital mICU intervention.

    Results: Three hundred thirty-seven patients were analyzed. The mean age was 69 ± 15-years-old and 226 of which 67% were male patients. One hundred thirty-six patients (40%) had previous hypertension. Pulmonary infection was the main cause of septic shock (46%) and 30-days mortality reached 30%.

    After propensity score analysis, for the macrocirculation: when systolic blood pressure increased by at least 30mmHg the odd ratio (OR) for 30-days mortality was 0.77 [0.65-0.84], when diastolic blood pressure increased by at least 5mmHg, the OR for 30-days mortality was 0.95 [0.88-0.99], when mean blood pressure increased by at least 30%, the OR for 30-days mortality was 0.88 [0.77-0.92] and when the heart rate decreased by at least 30 bpm, the OR for 30-days mortality was 0.62 [0.55-0.76]. For microcirculation, when the mottling score decreased by at least 2 points, the OR for 30-days mortality was 0.83 [0.75-0.91].

    Conclusion: In this study, we report that prehospital improvement in micro and macrocirculatory parameters are associated with 30-days mortality rate decrease.

    Introduction

    Each year, 30 million people worldwide [1–3] suffer from sepsis, leading to around 11 million deaths [3] approximately one third of in-hospital deaths [4]. Sepsis mortality rate varies from 10 to 20% for sepsis and even up to 50% - 60% for septic shock, the most severe form of sepsis [5–7].
           Among the factors that have made it possible to improve patient survival, we find early diagnosis, early referral to an appropriate facility, and the implementation of adequate therapies [8]. A comprehensive management strategy combining the above factors, "bundle of care", has proven its effectiveness in improving the outcome of septic shock [8–15]. The management of sepsis requires a dynamic approach constantly adapted to the severity of the patient [16,17]. For the more serious forms, the more rapid and aggressive management is the most effective [18]. Previous studies have identified that 70% of sepsis are present before arrival at the hospital, justifying the need to implement early diagnostic and therapeutic strategies from prehospital care [19].
           From a pathophysiological point of view, a sufficient tissue perfusion pressure, assessed by mean arterial pressure (MAP), is necessary for antibiotic therapy to diffuse in infected tissues [18,20]. Obtaining a correct MAP requires hemodynamic optimization, including vascular filling in the first hours, even norepinephrine administration if necessary [8]. Hypertension is associated with mortality and morbidity rise [21]. In addition, hypertension is the main medical diagnosis in patients with septic shock [22]. A recommended target MAP of 65 mmHg is probably not suitable for all patients with chronic hypertension [8,23–25].
           The aim of this retrospective observational study was to assess the relationship between hemodynamic parameters improvement during the pre-hospital phase of septic shock and 30-days mortality rate after hospital admission.

    Patients and methods
            The specificity of the French out-of-hospital emergency and care system is based on the French prehospital emergency system; the SAMU (Service d’Aide Medicale Urgente). The SAMU organization allows prehospital care equivalent to an intensive care unit by an emergency physician and a nurse. In the context of septic shock, fluid volume expansion, norepinephrine administration and antibiotic therapy can be addressed in the prehospital setting according to the recommendations [26].
           We performed a retrospective, multicenter study, from January 2015 to November 2019, including patients with septic shock, treated in prehospital setting by a mICU team from Toulouse hospital, Necker hospital, Lariboisière, Pitié Salpêtrière hospital, Hôtel Dieu and Paris Fire Brigade.
    The patients received care according to the recommendations of the protocols and habits of the pre-hospital and hospital teams.
           The patients included in the study were those treated by a mICU team for prehospital septic shock, according to the definition of the “sepsis 3” conference in 2016 [17]. Underage patients, deprived of their liberty, under guardianship or curatorship as well as pregnant women were not included in the study.
           The data analyzed included demographic data (age, weight, height), medical history, current treatments, suspected origin of sepsis, and schedules related to the pre-hospital care phase (time of call from the SAMU, time of arrival on site of the mICU team and time of arrival at the hospital), the data of the clinical examination collected at the initial stage of the prehospital setting (1st contact with the patient) and at the end of the pre-hospital phase (last values before hospital admission) - heart rate (HR), systolic blood pressure (SBP), diastolic blood pressure (DBP) and mean arterial pressure (MAP), pulsed oxygen saturation (SpO2), respiratory rate (RR), Glasgow coma scale (GCS), body core temperature, capillary blood sugar, capillary refill time, skin mottling score [27] - and lactatemia at the start of pre-hospital. Skin mottling score is a clinical score ranging from 0 to 5 associated with sepsis-outcome.
           The data describing the treatments administered were also collected (vascular filling (products, volume), use of vasopressors (products, dosage), mechanical ventilation parameters if applicable, antibiotic therapy (qualitative and quantitative).
    IGS II, SAPS II and SOFA scores were calculated from hospital data on day 1 [28,29]. These scores are used to predict sepsis outcome among patients admitted in ICU.
    The study was approved by the ethics committee of the French Society of Anesthesia and Resuscitation on December 12, 2017 (reference number: IRB 00010254-2017-026).

    Statistical analysis
           The primary outcome was the 30-days mortality after hospital admission. The absolute variations (initial value in the prehospital setting – final value before hospital admission) of SBP, DBP, MAP and HR were calculated in order to evaluate the treatment effect on the macrocirculation. An increase of 30 mmHg of SBP, 5 mmHg of DBP and 30% MAP as well as a decrease of 30 beats per minute during pre-hospital care, were chosen at the beginning because of their clinical relevance representing the positive effect on hemodynamic treatment of septic shock. For microcirculation, an absolute variation in the mottling score of at least 2 points was considered to be significantly representative of a positive treatment effect of pre-hospital hemodynamic management of septic shock. The components of the hemodynamic treatment, vascular filling and/or administration of norepinephrine, were not analyzed individually but as a whole, given the absence of protocolization (possibility of using one and/or other therapies left to the discretion of the team in charge of the patient).

         Univariate and multivariate analysis were performed to assess the relationship between each covariate and 30-days mortality.
           The results are expressed as an absolute value with relative percentage for the qualitative variables, as a mean with standard deviation for the quantitative variables of normal distribution and as a median with interquartile range (1st quartile - 3rd quartile) for the quantitative variables of non-Gaussian distribution.

    Univariate analysis comparisons were made using Student's t-test for quantitative variables of normal distribution, Wilcoxon's test for continuous variables of non-Gaussian distribution, and Chi-square test for categorical variables.
           In order to reduce the potential effect of confounding covariates on the relationship between 30-days mortality and changes in SBP, DBP, MAP, HR and mottling score, a propensity score analysis was performed. The propensity score was estimated using a logistic regression based on confounding covariates on 30-days mortality: pre-hospital duration, vascular filling volume, norepinephrine infusion, initial values of SBP, DBP, MAP, HR, and skin mottling score. The “nearest neighbor matching” method was used to match patients from the logit of the propensity score [30]. A threshold of 10% of the absolute differences of the means was used to estimate the balance of covariates after matching [31]. After matching, the association between 30-days mortality and micro and macrocirculation parameters was evaluated by logistic regression.
    The tests performed are two-sided with a p-value <0.05 defining the significance of the difference. Statistical analyzes were performed using R software version 3,4,2 (http://www.R-project,org; the R Foundation for Statistical Computing, Vienna, Austria).

    Results
           In this study, 337 patients with septic shock, according to the definition of the consensus conference “sepsis 3” of 2016, were retrospectively analyzed [17].
    Global characteristics of the population are summarized in Table 1.

    Suspected origin of septic shock during pre-hospital care was mainly pulmonary (n=153, 46%), digestive (n=78, 23%) and urinary (n=52, 15%).

    Univariate analysis

    The results of the univariate analysis are summarized in Table 2.

    Multivariate analysis
    After matching by propensity score, the association between 30-days mortality and micro and macrocirculation parameters were evaluated by logistic regression. The balance of covariates after matching is represented by Figures 1, 2, 3, 4 and 5 for SBP, DBP, MAP, HR and skin mottling score respectively.
    * Micro-circulation
    For microcirculation, when the skin mottling score decreased by at least 2 points, then the OR of death at D30 was 0.83 [0.75-0.91].
    * Macro-circulation
    Thus, for macrocirculation, between the start and the end of pre-hospital care:
    - when the SBP increased by at least 30mmHg then the OR of death on D30 was 0.77 [0.65-0.84],
    - when the DBP increased by at least 5mmHg then the OR of death on D30 was 0.95 [0.88-0.99],
    - when the MAP increased by at least 30% then the OR of death on D30 was 0.88 [0.77-0.92],
    - when the HR decreased by at least 30 beats per minute then the OR of death at D30 was 0.62 [0.55-0.76].

    Discussion
           In this study, we observed that the improvement in the micro and macrocirculatory hemodynamic parameters of patients with septic shock treated in pre-hospital setting by a mICU team is associated with a 30-days mortality decrease.
    Indeed, data from previous studies had reported that circulatory, clinical or biological failures are associated with worsening of the patient [32–36].
    From a pathophysiological point of view, the inflammation caused by sepsis is associated with vasodilation and vascular permeability as reflected by micro and macrocirculatory parameters [37].
           In prehospital setting, only clinical parameters are available to assess the micro and macrocirculatory. For macro-circulation, MAP being considered to reflect tissue perfusion, the importance of maintaining or restoring it to reduce the occurrence or worsening of organ failures appears essential. Since invasive monitoring is rarely possible in pre-hospital, a non-invasive MAP measurement is the only one that can be used in pre-hospital. For microcirculation, the advisability of considering clinical parameters as a therapeutic target has already been reported for skin mottling score and capillary refill time [38].
    For optimal management, the "sepsis 3" conference of 2016 [17], recommends a fluid volume expansion initiated in the first hours, followed by the administration of norepinephrine even if the MAP remains below 65 mmHg [8,17]. However, recent studies show the benefits of using norepinephrine earlier in order to reduce the time to target MAP and improve survival [39–41].
           A MAP target of 65 mmHg for all patients without taking into account their personal history does not appear physiologically logical. Indeed, among patients suffering from, pathophysiological changes aim to allow adaptation to the higher blood pressure regimen [42–44]. Previous studies have reported the benefit of a higher blood pressure target in hypertensive population without altering heart function [45–47], microcirculation [48] and kidney function [23]. Thus, Lee et al. reported that a MAP target between 75 and 85 mmHg is associated with increased survival in hypertensive patients with septic shock [49]. In addition, it has been reported that the shorter the duration of the period of low blood pressure, e.g., hypoperfusion, the better is the survival [50].

           However, this study has limitations. First, this is a retrospective study. Second, the study was conducted in an adult population exclusively; therefore, the results cannot be extrapolated directly to a pediatric population. Third, the external validity is low due to the specificity of the French pre-hospital emergency medical system. Fourth, the study population is represented by septic shock, therefore the results cannot be extrapolated to non-septic shock patients, i.e., sepsis. Nevertheless, the micro and macrocirculatory hemodynamic parameters reported in this study are simple and accessible since the prehospital setting to assess the severity and the treatment effect of septic shock cared for by a mICU team. Further studies are needed to confirm whether these parameters could be used to increase prehospital management and triage of septic shock.


    Conclusion
    In this study, we report an association between survival and micro and macrocirculatory hemodynamic parameters improvement among septic shock patients cared for by a mICU team in the prehospital setting. An early intervention, from the prehospital setting, personalized mean arterial pressure management appears desirable among hypertensive patients.

    Author contributions
    All authors contributed equally and validated the final version of record.

    Conflicts Of Interest
    The Author(s) declare(s) that there is no conflict of interest.

    Funding 
    This research received no specific grant from any funding agency in the public, commercial, or not-for-profit sectors.

    Registration
    No registration applicable

    Data availability statement 
    The data that support the findings of this study are available from the corresponding author upon reasonable request.

    Ethical approval
    The study was approved by the ethics committee of the French Society of Anesthesia and Resuscitation on December 12, 2017 (reference number: IRB 00010254-2017-026).

    References

    1.      Fleischmann C, Scherag A, Adhikari NKJ, Hartog CS, Tsaganos T, Schlattmann P, et al. Assessment of Global Incidence and Mortality of Hospital-treated Sepsis. Current Estimates and Limitations. Am J Respir Crit Care Med. 2016;193(3):259–72. https://doi.org/10.1164/rccm.201504-0781OC.

    2.      Gaieski DF, Edwards JM, Kallan MJ, Carr BG. Benchmarking the Incidence and Mortality of Severe Sepsis in the United States*. Crit Care Med. 2013;41(5):1167–74. https://doi.org/10.1097/CCM.0b013e31827c09f8.

    3.      Rudd KE, Johnson SC, Agesa KM, Shackelford KA, Tsoi D, Kievlan DR, et al. Global, regional, and national sepsis incidence and mortality, 1990–2017: analysis for the Global Burden of Disease Study. Lancet. 2020 Jan 18;395(10219):200–11. https://doi.org/10.1016/S0140-6736(19)32989-7.

    4.      Liu V, Escobar GJ, Greene JD, Soule J, Whippy A, Angus DC, et al. Hospital Deaths in Patients With Sepsis From 2 Independent Cohorts. JAMA. 2014 Jul 2;312(1):90–2. https://doi.org/10.1001/jama.2014.5804.

    5.      Busani S, Damiani E, Cavazzuti I, Donati A, Girardis M. Intravenous immunoglobulin in septic shock: review of the mechanisms of action and meta-analysis of the clinical effectiveness. Minerva anestesiol. 2016;82(5):559–72.

    6.      Luhr R, Cao Y, Söderquist B, Cajander S. Trends in sepsis mortality over time in randomised sepsis trials: a systematic literature review and meta-analysis of mortality in the control arm, 2002–2016. Crit Care. 2019 Jul 3;23(1):241. https://doi.org/10.1186/s13054-019-2528-0.

    7.      Sakr Y, Elia C, Mascia L, Barberis B, Cardellino S, Livigni S, et al. Epidemiology and outcome of sepsis syndromes in Italian ICUs: a muticentre, observational cohort study in the region of Piedmont. Minerva Anestesiol. 2013 Sep;79(9):993–1002.

    8.      Singer M, Deutschman CS, Seymour CW, Shankar-Hari M, Annane D, Bauer M, et al. The Third International Consensus Definitions for Sepsis and Septic Shock (Sepsis-3). JAMA. 2016 Feb 23;315(8):801–10. https://doi.org/10.1001/jama.2016.0287.

    9.      Jouffroy R, Gilbert B, Tourtier JP, Bloch-Laine E, Ecollan P, Bounes V, et al. Impact of Prehospital Antibiotic Therapy on Septic Shock Mortality. Prehosp Emerg Care. 2021 May 4;25(3):317–24. https://doi.org/10.1080/10903127.2020.1763532.

    10.  Nauclér P, Huttner A, van Werkhoven CH, Singer M, Tattevin P, Einav S, et al. Impact of time to antibiotic therapy on clinical outcome in patients with bacterial infections in the emergency department: implications for antimicrobial stewardship. Clin Microbiol Infect. 2021 Feb 1;27(2):175–81. https://doi.org/10.1016/j.cmi.2020.02.032.

    11.  Peltan ID, Brown SM, Bledsoe JR, Sorensen J, Samore MH, Allen TL, et al. ED Door-to-Antibiotic Time and Long-term Mortality in Sepsis. CHEST. 2019 May 1;155(5):938–46. https://doi.org/10.1016/j.chest.2019.02.008.

    12.  Seok H, Song J, Jeon JH, Choi HK, Choi WS, Moon S, et al. Timing of antibiotics in septic patients: a prospective cohort study. Clin Microbiol Infect. 2020 Nov 1;26(11):1495–500. https://doi.org/10.1016/j.cmi.2020.01.037.

    13.  Seymour CW, Gesten F, Prescott HC, Friedrich ME, Iwashyna TJ, Phillips GS, et al. Time to Treatment and Mortality during Mandated Emergency Care for Sepsis. N Engl J Med. 376(23):2235–44. https://doi.org/10.1056/NEJMoa1703058.

    14.  Singer M. Antibiotics for Sepsis: Does Each Hour Really Count, or Is It Incestuous Amplification? Am J Respir Crit Care Med. 2017 Oct 1;196(7):800–2. https://doi.org/10.1164/rccm.201703-0621ed.

    15.  Sterling SA, Miller WR, Pryor J, Puskarich MA, Jones AE. The Impact of Timing of Antibiotics on Outcomes in Severe Sepsis and Septic Shock: A Systematic Review and Meta-Analysis*. Crit Care Med. 2015;43(9):1907–15. https://doi.org/10.1097/CCM.0000000000001142.

    16.  Leisman DE, Doerfler ME, Ward MF, Masick KD, Wie BJ, Gribben JL, et al. Survival Benefit and Cost Savings From Compliance With a Simplified 3-Hour Sepsis Bundle in a Series of Prospective, Multisite, Observational Cohorts. Crit Care Med. 2017;45(3):395–406. https://doi.org/10.1097/ccm.0000000000002184.

    17.  Rhodes A, Evans LE, Alhazzani W, Levy MM, Antonelli M, Ferrer R, et al. Surviving Sepsis Campaign: International Guidelines for Management of Sepsis and Septic Shock: 2016. Intensive Care Med. 2017 Mar 1;43(3):304–77. https://doi.org/10.1007/s00134-017-4683-6.

    18.  Jouffroy R, Vivien B. Implementation of earlier antibiotic administration in patients with severe sepsis and septic shock in Japan: antibiotic action needs time and tissue perfusion to reach target. Crit Care. 2020 Jan 14;24(1):17. https://doi.org/10.1186/s13054-020-2727-8.

    19.  The EPISEPSIS Study Group. EPISEPSIS: a reappraisal of the epidemiology and outcome of severe sepsis in French intensive care units. Intensive Care Med. 2004 Apr 1;30(4):580–8. https://doi.org/10.1007/s00134-003-2121-4.

    20.  Kumar A, Roberts D, Wood KE, Light B, Parrillo JE, Sharma S, et al. Duration of hypotension before initiation of effective antimicrobial therapy is the critical determinant of survival in human septic shock*. Crit Care Med [Internet]. 2006;34(6):1589–96. https://doi.org/10.1097/01.CCM.0000217961.75225.E9.

    21.  Kung HC, Xu J. Hypertension-related Mortality in the United States, 2000-2013. NCHS Data Brief. 2015 Mar;(193):1–8.

    22.  Unal A, Kostek O, Takir M, Caklili O, Uzunlulu M, Oguz A. Prognosis of patients in a medical intensive care unit. North Clin Istanb. 2015 Dec 31;2(3):189–95. https://doi.org/10.14744/nci.2015.79188.

    23.  Asfar P, Meziani F, Hamel J-F, Grelon F, Megarbane B, Anguel N, et al. High versus Low Blood-Pressure Target in Patients with Septic Shock. N Engl J Med. 370(17):1583–93. https://doi.org/10.1056/NEJMoa1312173.

    24.  Hylands M, Moller MH, Asfar P, Toma A, Frenette AJ, Beaudoin N, et al. A systematic review of vasopressor blood pressure targets in critically ill adults with hypotension. Can J Anaesth. 2017 Jul;64(7):703–15. https://doi.org/10.1007/s12630-017-0877-1.

    25.  Lamontagne F, Meade MO, Hébert PC, Asfar P, Lauzier F, Seely AJE, et al. Higher versus lower blood pressure targets for vasopressor therapy in shock: a multicentre pilot randomized controlled trial. Intensive Care Med. 2016 Apr 1;42(4):542–50. https://doi.org/10.1007/s00134-016-4237-3.

    26.  Adnet F, Lapostolle F. International EMS Systems: France. Resuscitation. 2004 Oct 1;63(1):7–9. https://doi.org/10.1016/j.resuscitation.2004.04.001.

    27.  Le Borgne P, Kam C, Bilbault P. Marbrures: expression clinique de la dysfonction microcirculatoire dans le choc septique. Ann Fr Med Urgence. 2016 May;6(3):212–3. https://doi.org/10.1007/s13341-016-0637-9.

    28.  Le Gall JR, Lemeshow S, Saulnier F. A new Simplified Acute Physiology Score (SAPS II) based on a European/North American multicenter study. JAMA. 1993 Dec 22;270(24):2957–63. https://doi.org/10.1001/jama.270.24.2957. Erratum in: JAMA 1994 May 4;271(17):1321. PMID: 8254858.

    29.  Vincent JL, Moreno R, Takala J, Willatts S, De Mendonça A, Bruining H, et al. The SOFA (Sepsis-related Organ Failure Assessment) score to describe organ dysfunction/failure. Intensive Care Med. 1996 Jul 1;22(7):707–10. https://doi.org/10.1007/BF01709751.

    30.  Austin PC. An Introduction to Propensity Score Methods for Reducing the Effects of Confounding in Observational Studies. Multivar Behav Res. 2011 May 31;46(3):399–424. https://doi.org/10.1080/00273171.2011.568786.

    31.  Austin PC. Balance diagnostics for comparing the distribution of baseline covariates between treatment groups in propensity-score matched samples. Stat Med. 2009 Nov 10;28(25):3083–107. https://doi.org/10.1002/sim.3697.

    32.  Ait-Oufella H, Bige N, Boelle PY, Pichereau C, Alves M, Bertinchamp R, et al. Capillary refill time exploration during septic shock. Intensive Care Med. 2014 Jul 1;40(7):958–64. https://doi.org/10.1007/s00134-014-3326-4.

    33.  Ait-Oufella H, Lemoinne S, Boelle PY, Galbois A, Baudel JL, Lemant J, et al. Mottling score predicts survival in septic shock. Intensive Care Med. 2011 May 1;37(5):801–7. https://doi.org/10.1007/s00134-011-2163-y.

    34.  Charlton M, Sims M, Coats T, Thompson JP. The microcirculation and its measurement in sepsis. J. Intensive Care Soc. 2017 Aug 1;18(3):221–7. https://doi.org/10.1177/1751143716678638.

    35.  De Backer D, Creteur J, Preiser JC, Dubois MJ, Vincent JL. Microvascular Blood Flow Is Altered in Patients with Sepsis. Am J Respir Crit Care Med. 2002 Jul 1;166(1):98–104. https://doi.org/10.1164/rccm.200109-016oc.

    36.  Sakr Y, Dubois MJ, De Backer D, Creteur J, Vincent JL. Persistent microcirculatory alterations are associated with organ failure and death in patients with septic shock*. Crit Care Med. 2004 Sep;32(9):1825–31. https://doi.org/10.1097/01.ccm.0000138558.16257.3f.

    37.  Angus DC, van der Poll T. Severe Sepsis and Septic Shock. N Engl J Med. 2013;369(9):840–51. https://doi.org/10.1056/NEJMra1208623. Erratum in: N Engl J Med. 2013 Nov 21;369(21):2069..

    38.  Jouffroy R, Saade A, Tourtier JP, Gueye P, Bloch-Laine E, Ecollan P, et al. Skin mottling score and capillary refill time to assess mortality of septic shock since pre-hospital setting. Am J Emerg Med. 2019 Apr 1;37(4):664–71. https://doi.org/10.1016/j.ajem.2018.07.010.

    39.  Bai X, Yu W, Ji W, Lin Z, Tan S, Duan K, et al. Early versus delayed administration of norepinephrine in patients with septic shock. Crit Care. 2014 Oct 3;18(5):532. https://doi.org/10.1186/s13054-014-0532-y.

    40.  Hamzaoui O, Georger JF, Monnet X, Ksouri H, Maizel J, Richard C, et al. Early administration of norepinephrine increases cardiac preload and cardiac output in septic patients with life-threatening hypotension. Crit Care. 2010 Jul 29;14(4):R142. https://doi.org/10.1186/cc9207.

    41.  Morimatsu H, Singh K, Uchino S, Bellomo R, Hart G. Early and exclusive use of norepinephrine in septic shock. Resuscitation. 2004 Aug 1;62(2):249–54. https://doi.org/10.1016/j.resuscitation.2004.03.016.

    42.  Dünser MW, Takala J, Ulmer H, Mayr VD, Luckner G, Jochberger S, et al. Arterial blood pressure during early sepsis and outcome. Intensive Care Med. 2009 Jul 1;35(7):1225–33. https://doi.org/10.1007/s00134-009-1427-2.

    43.  Immink RV, van den Born BJH, van Montfrans GA, Koopmans RP, Karemaker JM, van Lieshout JJ. Impaired Cerebral Autoregulation in Patients With Malignant Hypertension. Circulation. 2004 Oct 12;110(15):2241–5. https://doi.org/10.1161/01.CIR.0000144472.08647.40.

    44.  Strandgaard S, Olesen J, Skinhøj E, Lassen NA. Autoregulation of Brain Circulation in Severe Arterial Hypertension. BMJ. 1973 Mar 3;1(5852):507. https://doi.org/10.1136/bmj.1.5852.507.

    45.  Bourgoin A, Leone M, Delmas A, Garnier F, Albanèse J, Martin C. Increasing mean arterial pressure in patients with septic shock: Effects on oxygen variables and renal function*. Crit Care Med. 2005;33(4):780–6. https://doi.org/10.1097/01.ccm.0000157788.20591.23.

    46.  LeDoux D, Astiz ME, Carpati CM, Rackow EC. Effects of perfusion pressure on tissue perfusion in septic shock. Crit Care Med. 2000;28(8):2729–32. https://doi.org/10.1097/00003246-200008000-00007.

    47.  Xu JY, Ma SQ, Pan C, He HL, Cai SX, Hu SL, et al. A high mean arterial pressure target is associated with improved microcirculation in septic shock patients with previous hypertension: a prospective open label study. Crit Care. 2015 Dec 1;19(1):130. https://doi.org/10.1186/s13054-015-0866-0.

    48.  Thooft A, Favory R, Salgado DR, Taccone FS, Donadello K, De Backer D, et al. Effects of changes in arterial pressure on organ perfusion during septic shock. Crit Care. 2011 Sep 21;15(5):R222. https://doi.org/10.1186/cc10462.

    49.  Lee GT, Hwang SY, Jo IJ, Kim TR, Yoon H, Park JH, et al. Associations between mean arterial pressure and 28-day mortality according to the presence of hypertension or previous blood pressure level in critically ill sepsis patients. J Thorac Dis. 2019 May 31;(5):1980–1988. https://doi.org/10.21037/jtd.2019.04.108.

    50.  The ProCESS Investigators. A Randomized Trial of Protocol-Based Care for Early Septic Shock. N Engl J Med. 370(18):1683–93. https://doi.org/10.1056/NEJMoa1401602.

  • Lemierre Syndrome in a Pediatric Patient with Nephrotic Syndrome: a Case Report

    Lemierre syndrome is a rare thrombotic complication of head and neck infections. Nephrotic syndrome is sometimes treated by immunosuppressive medications that can present with severe infections without a fever. The association of the two diseases is extremely rare.

    We report the first case, to our knowledge, of Lemierre syndrome in an eleven-year-old patient with nephrotic syndrome on Tacrolimus.

    A patient with nephrotic syndrome is at higher risk for all kinds of thrombotic events. Also, being on immunosuppressive therapy can lead to late presentation and the absence of fever. A low level of suspicion in those patients can lead to timely diagnosis and early treatment.

    Key Messages:
    Ø  What is already known on this topic – Nephrotic syndrome is a thrombophilic condition and Lemierre syndrome is a rare complication of head and neck infections.
    Ø  What this study adds – We report the first case of Lemierre syndrome, to our knowledge, occurring in a child with nephrotic syndrome on immunosuppressive therapy.
    Ø  How this study might affect research, practice, or policy – Patients of immunotherapy and with nephrotic syndrome might be at a higher risk of developing Lemierre syndrome.

    Introduction

         Lemierre syndrome (LS) is a rare complication of head and neck infections in the pediatric population. Classically the syndrome consists of suppurative thrombophlebitis of the internal jugular veins secondary to infection of the oropharynx with Fusobacterium necrophorum bacteremia (1). The bacterial pharyngitis is usually seen with peritonsillar abscess which can rupture and spread to the carotid sheath that contains the internal carotid artery and internal jugular vein. This leads to seeding of the internal jugular vein with bacteria and the formation of thrombophlebitis which can then spread systemically. Typical presentation includes recent oropharyngeal symptoms which may resolve followed by progression to high fever, headache, neck pain, and respiratory symptoms (2). Infection may occur in previously healthy children and in individuals with chronic conditions such as systemic lupus erythematosus and antiphospholipid syndrome (3).

         Nephrotic syndrome (NS) is defined as proteinuria of > 3 g/day and hypoalbuminemia (<30 g/L). The protein loss leads to loss in Immunoglobulins which predisposes patients to infections. NS is also associated with hypercoagulability and patients are at increased risk of venous thrombosis. The incidence of venous and arterial thromboembolism is low in children occurring in only 2-3% of cases (4). Only one pediatric case report of thrombosis of the internal jugular vein in a child with NS without any evidence of infection, has been published (5).

         After a literature review using MeSH and keywords (Lemierre syndrome, NS, thrombophlebitis) in PubMed, we report the first case of LS, to our knowledge, occurring in a child with NS on immunosuppressive therapy.  

    Case presentation

         11-year-old boy, known for NS treated with Tacrolimus, presented for headache and neck pain of 2 weeks duration with decreased oral intake and urine output. He had previously sought medical attention twice but was diagnosed with muscular neck sprain and discharged home. His symptoms progressed and he was brought to the emergency department. At triage, the patient was in severe pain, appeared uncomfortable and was found to have a stiff neck. He was afebrile and his vital signs were normal.

         On further history and physical exam, the boy looked tired and was complaining of occipital headache and sore throat. The patient had a muffled voice and right sided peritonsillar swelling. Laboratory tests showed a white blood cell count of 14100 cells/microliter with 82.9% neutrophils, high C-Reactive Protein of 122 mg/L (12.2 mg/dL) and 0.3 g/L of protein in the urine, the other tests including electrolytes were normal. Computed tomography angiogram was obtained and showed a large retropharyngeal abscess with acute thrombosis of the proximal third of the right intrajugular vein (Fig. 1).

         The patient was started on piperacillin tazobactam and sent to the operation room for emergent drainage. After the drainage, the patient was started on anticoagulation, but his stay was complicated by reformation of the abscess that required repeat incision and drainage. He was discharge home on day 8 of admission with close follow up with ENT.

    Discussion

         We describe the first known case of LS in a patient with NS. Despite reduction in mortality from LS with antimicrobial therapy (6), there are reports of increasing rates of F necrophorum infections (1) and clinicians need to be aware of this aggressive infection as early diagnosis and therapy is critical. There are several published case studies over the past years that report cases of LS in previously healthy individuals and associated thrombosis in different sites, including lungs, bones, and brain. Also, LS was described in patients with different medical conditions including systemic lupus erythematosus, different types of arthritis among others (7, 8). The emergency physician should have a low threshold for LS in any patient with such conditions presenting with neck pain, sore throat, fever, or high inflammatory markers to the emergency department.

         LS has been reported in all ages, but approximately 70% of the documented cases were in adolescents and young adults between 16-25 years old. Typically, patients present with infection in the oropharynx, fever, neck stiffness, cervical lymphadenopathy which invades the lateral pharyngeal space leading to serious complications. 

         Fusobacterium necrophorum is the most common cause of LS. It is an anaerobic, nonmotile, pleomorphic, gram-negative bacillus that exists in normal oral flora. It becomes pathogenic when there is a break in the oral mucosa with infections such as pharyngitis. 
    The pathophysiology of the thrombotic events in LS remains unclear. Some studies attribute it to underlying inherited thrombophilia whereas in other cases, it is believed to be caused by a cascade of enzymes activities triggered by the bacteria. The thrombotic process caused by fusobacterium is multifactorial. Like any thrombosis event, it is mainly the result of Virchow’s triad: systemic hypercoagulability, venous stasis by vessel occlusion caused by inflammation, and endothelial damage by the direct endovascular invasion of the bacteria.

         F necrophorum consists of multiple virulence factors, including lipopolysaccharide endotoxin, leucocidin, hemolysin, lipase, hemagglutinin, and a cytoplasmic toxin, all contribute to the thrombotic process. These enzymes may produce endothelial damage and diffuse intravascular coagulation by promoting platelet aggregation in an anaerobic environment, which also permits F necrophorum to grow (9).

         In our case, the patient is known for NS, he was at higher risk of developing complications of LS. As it is commonly known, NS is defined by increased urinary protein losses, edema, hypoalbuminemia, hyperlipidemia, and can be complicated by infectious and thromboembolic manifestations. The pathogenesis of platelet hyperaggregability and its association with NS has been widely reported throughout the years. It is reported that hypoalbuminemia leads to increased thromboxane A2 production in platelets, which trigger platelet aggregation. Also, increased levels of low-density lipoprotein may induce platelet aggregation (4). Patients with NS characteristically lose plasma proteins in the urine (factors IX, X, and XII, prothrombin, antithrombin, and α2-antiplasmin), which inhibit the systemic hemostasis. On the other hand, high molecular weight proteins are exceedingly synthesized and primarily promote thrombosis. These proteins include factor V, factor VIII, von Willebrand factor, fibrinogen, and α2-macroglobulin accumulate. Factor VII has an essential role in starting the coagulation cascade. It is shown that increased factor VIII led to an increase in the risk factor for thromboembolism in nephrotic patients (10).

         So, with all these factors, a patient with NS is at higher risk for all kinds of thrombotic events, especially that our patient was also on immunosuppressive therapy which can explain his late presentation and the absence of fever. 

    Conclusion

         We describe a case of LS in a child with NS. LS is a rare disease that has a high morbidity and mortality if not diagnosed and treated early. Patients with NS are at higher risk for thrombotic event including thromboembolism of the internal jugular vein. A low level of suspicion in those patients can lead to timely diagnosis and early treatment.

    Declarations
    Author contributions
    All authors contributed equally and validated the final version of record.

    Conflicts Of Interest
    The Author(s) declare(s) that there is no conflict of interest.

    Funding 
    This research received no specific grant from any funding agency in the public, commercial, or not-for-profit sectors.

    Registration
    No registration applicable

    Data availability statement 
    The data that support the findings of this study are available from the corresponding author upon reasonable request.

    Ethical approval
    Ethical approval for this study was not required.

    References

    1.      Ramirez S, Hild TG, Rudolph CN, Sty JR, Kehl SC, Havens P, et al. Increased diagnosis of Lemierre syndrome and other Fusobacterium necrophorum infections at a Children's Hospital. Pediatrics. 2003;112(5):e380. https://doi.org/10.1542/peds.112.5.e380

    2.      Lu MD, Vasavada Z, Tanner C. Lemierre syndrome following oropharyngeal infection: a case series. J Am Board Fam Med. 2009;22(1):79-83. https://doi.org/10.3122/jabfm.2009.01.07024

    3.      Cho YP, Choi SJ, Jung BH, Hwang JW, Han MS, Kim YH, et al. Lemierre's syndrome in a patient with antiphospholipid syndrome. Ann Vasc Surg. 2006;20(2):274-7. https://doi.org/10.1007/s10016-006-9004-4

    4.      Kerlin BA, Ayoob R, Smoyer WE. Epidemiology and pathophysiology of nephrotic syndrome-associated thromboembolic disease. Clin J Am Soc Nephrol. 2012;7(3):513-20. https://doi.org/10.2215/cjn.10131011

    5.      Vyas V, Kapoor S, Panda M, Mandal Ravi RN. Thrombosis of internal jugular vein in nephrotic syndrome presenting as neck pain. Indian J Pediatr. 2012;79(10):1388. https://doi.org/10.1007/s12098-012-0705-0

    6.      Screaton NJ, Ravenel JG, Lehner PJ, Heitzman ER, Flower CD. Lemierre syndrome: forgotten but not extinct--report of four cases. Radiology. 1999;213(2):369-74. https://doi.org/10.1148/radiology.213.2.r99nv09369

    7.      Fujii T, Iwabuchi Y, Moriyama T, Uchida K, Nitta K. A case of Lemierre syndrome combined with a suspected systemic lupus erythematosus flare. SAGE Open Med Case Rep. 2019;7:2050313X19871782. https://doi.org/10.1177/2050313x19871782

    8.      Hagiya H, Haruki Y, Otsuka F. Lemierre syndrome involving external jugular vein. Acute Med Surg. 2015;2(1):64-8. https://doi.org/10.1002/ams2.61

    9.      Tan ZL, Nagaraja TG, Chengappa MM. Fusobacterium necrophorum infections: virulence factors, pathogenic mechanism and control measures. Vet Res Commun. 1996;20(2):113-40. https://doi.org/10.1007/bf00385634

    10.  Cristina L, Benilde C, Michela C, Mirella F, Giuliana G, Gualtiero P. High plasma levels of factor VIII and risk of recurrence of venous thromboembolism. Br J Haematol. 2004;124(4):504-10. https://doi.org/10.1046/j.1365-2141.2003.04795.x

     

Latest articles

Loading articles...

Indexing Information

Loading...

PoEM News

Loading news...

Partnership

Loading...

Journal Metrics

Loading...

Meet the Board

Support for Authors

1

Getting Started

Register with journal and receive Author role. Access dashboard to begin new submission.
2

Complete Submission

Select language, title, section • Enter abstract, keywords, references • Upload files • Add co-authors
3

Review & Submit

Add optional comments for editors and suggest reviewers. Review all information and confirm submission.

Submitted

Your submission is complete and under review

Published

Article successfully published
8

Copyediting

Review copyedited files and publication-ready versions. Provide feedback or approval through discussions.
7

Acceptance

Accepted manuscripts proceed to copyediting and production. Receive confirmation notifications.
6

Upload Revised

Upload revised files through Review tab with response to reviewers (if revisions required).
5

Peer Review

Receive editor's decision via email and dashboard.
4

Track Submission

Monitor submission status via Author Dashboard.

Support for Reviewers

1

Receive Invitation

Editors send invitation via email with manuscript details. Access via link or journal login.
2

Request Details

Click to access assignment details including article title, abstract, review files, and schedule.
3

Accept / Decline

Review submission details and privacy statement. Decide whether to accept or decline the assignment.
4

Read Guidelines

Review journal's specific reviewer guidelines. Guidelines remain accessible throughout the review process.
5

Review Manuscript

Download review files and conduct thorough review. Enter comments for editor and author.

Complete

Review successfully submitted
9

Submit Review

When satisfied with review and recommendation click Submit. Confirm submission to complete the process.
8

Communicate

Use Review Discussion panel to ask questions. Click Add discussion to start conversation.
7

Recommendation

Select recommendation from dropdown menu based on review: Accept, Revisions, Resubmit, or Decline.
6

Upload Files

Optionally upload marked-up copy of review file. Remember to anonymize if required by type.
PoEM Footer